576 (12 imágenes)
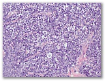
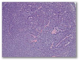
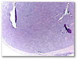
Lesión quística en cara lateral de cuello

Haz clic en una imagen para ampliarla.


 

Diagnostico


 

          Índice de casos                                                www.uv.es/derma