604 (6 imágenes)

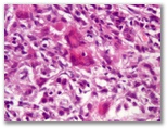
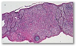
Papula en un niño de 3 meses

Haz clic en una imagen para ampliarla.



Diagnostico


 

          Índice de casos                                                www.uv.es/derma