607 (14 imágenes)
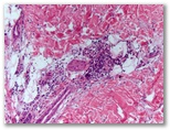
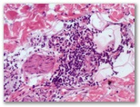
Nodulos infiltrados en muslo

Haz clic en una imagen para ampliarla.



Diagnostico


 

          Índice de casos                                                www.uv.es/derma