608 (10 imágenes)

Haz clic en una imagen para ampliarla.



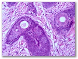
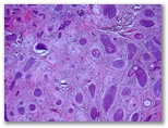
Descripcion histologica

Diagnostico

          Indice de casos                                                www.uv.es/derma