664 (11 imágenes)
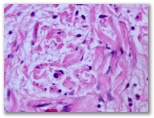
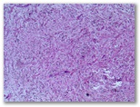
Lesiones nodulares múltiples en tronco y extremidades

Haz clic en una imagen para ampliarla.



Diagnostico


 

          Índice de casos                                                www.uv.es/derma