705 (8 imágenes)

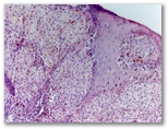
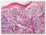
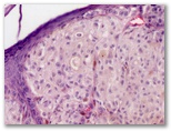
¿Queratosis seborreica?

Haz clic en una imagen para ampliarla.



Diagnostico


 

          Índice de casos                                                www.uv.es/derma