708 (6 imágenes)
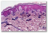
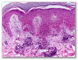
¿Granuloma anular?

Haz clic en una imagen para ampliarla.



Diagnostico


 

          Índice de casos                                                www.uv.es/derma