737 (10 imágenes)
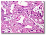
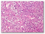
Paciente VIH con lesiones angiomatosas múltiples

Haz clic en una imagen para ampliarla.



Diagnostico


 

          Índice de casos                                                www.uv.es/derma