740 (6 imágenes)
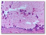
Paciente VIH con lesiones de foliculitis generalizadas

Haz clic en una imagen para ampliarla.



Diagnostico


 

          Índice de casos                                                www.uv.es/derma