822 (10 imágenes)
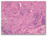
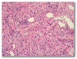
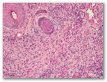
Nódulo en áreas equimótico en tórax
Haz clic en una imagen para ampliarla.
Diagnostico
Índice de casos
www.uv.es/derma