899 (14 imágenes)
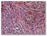
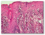
¿Nevus congénito?

Haz clic en una imagen para ampliarla.


 

Diagnostico


 

          Índice de casos                                                www.uv.es/derma