910 (12 imágenes)
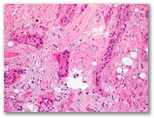
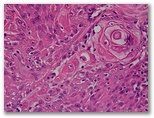
Lesión nodular en labio

Haz clic en una imagen para ampliarla.


 

Diagnostico


 

          Índice de casos                                                www.uv.es/derma