943 (11 imágenes)
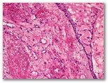
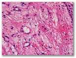
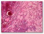
Botriomicoma? paciente vih+

Haz clic en una imagen para ampliarla.



Diagnostico


 

          Índice de casos                                                www.uv.es/derma