952 (15 imágenes)
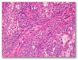
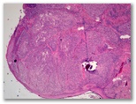
Lesión tumoral en mejilla en una anciana

Haz clic en una imagen para ampliarla.



Diagnostico


 

          Índice de casos                                                www.uv.es/derma