955 (17 imágenes)
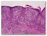
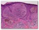
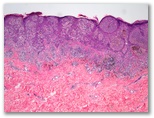
¿Nevus de Reed?

Haz clic en una imagen para ampliarla.



Diagnostico


 

          Índice de casos                                                www.uv.es/derma