966 (4 imágenes)
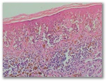
¿nevus?

Haz clic en una imagen para ampliarla.



Diagnostico


 

          Índice de casos                                                www.uv.es/derma