016 (11 imágenes)
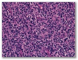
Un bebé de 6 meses de edad, desarrolló una de tamaño lentamente aumentando, retroauricular derecha localizada en el diámetro más grande 13 mm medidos se inicie. En la zona de la hélice fue un segundo, lesión morfológicamente idénticos.
a) la inflamación dérmica no específica
b) el linfoma cutáneo maligno
c)  xantogranuloma juvenil inmaduro
d) de Borrelia asociada a seudolinfoma cutánea
e) Angioma Inflamatoria

Haz clic en una imagen para ampliarla.



 

          Índice de casos                                                www.uv.es/derma