


A 21‐year‐old Hispanic man with B‐ALL, presented to the hospital after his second cycle of chemotherapy in septic shock due to Escherichia coli bacteremia.
He was treated with broad‐spectrum antibiotics and antifungals due to persistent neutropenic fevers.
On hospital day 16, he developed an eruption of well‐circumscribed, warty‐appearing, nonpruritic, nonpainful, flesh‐colored nodules on his forehead, upper back, and arms (Figure 1), as well as non‐specific left shoulder and bilateral leg pain.
On physical exam, the patient was febrile, tachycardic, and hypotensive, and he appeared chronically ill. His abdomen was distended and tender in the right lower quadrant, with splenomegaly. He had no palpable lymphadenopathy. There was limited range of motion of the affected limbs.
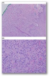
Shave biopsy of two skin lesions from the right elbow revealed a dermal histiocytic infiltrate composed of foam cells and Touton giant cells without mitotic figures, nuclear atypia, or epidermal involvement (Figure 2).
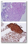
Bone marrow biopsy showed marked nodular histiocytic proliferation involving 40% of the marrow, with positive staining for CD68 and CD163 and negative staining for CD1a, EBER, S100, CD21, CD23, and BRAF V600 mutation, consistent with JXG (Figure 3).
No specific abnormalities were detected by BCR/ABL and chromosome 17 FISH probes. Cytogenetics showed a normal male karyotype. Bacterial, mycobacterial, and fungal cultures were negative. Our laboratory did not perform NRAS, KRAS, MAR2K1 mutational analysis, evaluation for ALK expression, or Factor XIIIa.
A PET scan revealed numerous foci of increased activity throughout the axial and appendicular skeleton and foci of increased tracer uptake in the liver,
Diagnosis????