PRÁCTICA 2 - Órganos linfoides y digestivos
| HE-07 Timo (Hematoxilina-eosina) |
Visión general: la sección histológica muestra en periferia una pequeña cápsula de tejido conjuntivo que delimita una organización en lobulillos. La estructura lobulillar tímica presenta la zona externa o cortical densamente celular más teñida que contrasta con la zona medular central clara. Los septos intertlobulillares aparecen repletos de vasos sanguineo llegando hasta la zona de unión corticomedular.
Visión específica: el análisis del lobulillo muestra una zona cortical formada mayoritariamente por linfocitos de pequeño tamaño con un disposición difusa y una zona medular que presenta menor contenido de linfocitos junto a células epiteliales configurando algunas de ellas típicos cuerpo de Hasall de heterogenidad morfológica marcada.
 |
 |
| HE-07 Timo 10x |
 |
HE-07 Timo 20x |
 |
 |
| HE-07 Timo 40x |
 |
|
|
- Análisis de la arquitectura tímica.
- Estudio de las características celulares linfocitarias de la cortical tímica.
- Analisis de la medular tímica con descripción de las células reticuloepiteliales.
| HE-8 Bazo (Hematoxilina - eosina) |
Visión general: la sección esplénica muestra una cápsula conectiva fibromuscular periférica que se continúa con tabiques o septos conteniendo estructuras vasculares. Se aprecian dos zonas diferenciales: la pulpa blanca situada periarteriolarmente y constituida por tejido linfoide difuso y nodular y la pulpa roja estructurada como espacios arquitecturales de senos venososo y cordones celulares de contenido fundamentalmente hematológico.
Visión específica: se analiza los componentes de la pulpa blanca configurando dos estructuras posibles: vaina linfoide periarteriolar (VLPA) únicamente constituida por tejido linfoide difuso y la VLPA con tejido linfoide difuso y un nódulo linfoide secundario excéntricamente ubicado. En la pulpa roja se distinguen con dificultad los espacios vasculares irregulares con luces escasamente aparentes repletos de sangre o senos venosos y los cordones de Billroth más sólidos de células macrofágicas en relación con células sanguíneas.
 |
 |
| HE-8 Bazo 10x |
 |
HE-8 Bazo 20x |
 |
- Arquitectura general del parénquima esplénico con distinción de pulpa blanca y pulpa roja.
- Análisis de la pulpa blanca.
| HE-9 Esófago (Hematoxilina-eosina) |
Visión general: a pequeño aumento se distinguen las distintas capas del tubo esofágico. En relación con la luz observamos la mucosa, por debajo de la cual se aprecia el tejido conectivo y las glándulas de la submucosa, el armazón muscular de la pared esofágica y la fina capa adventicia periférica.
Visión específica: la mucosa aparece constituida por un epitelio pavimentoso estratificado no queratinizado que descansa sobre una membrana basal que le separa de la lámina propia conectiva rica en células linfoides. La submucosa está constituida por un conectivo laxo rico en vasos sanguíneos y glándulas tubulares mucosas. El armazón muscular presenta fibras musculares cortadas en los distintos planos alternando fibras multinucleadas estriadas y células fusiformes de núcleo central lisas. Nos encontramos pues en una sección del tercio medio del esófago. La adventicia aparece constituida por un tejido conjuntivo laxo con adipocitos y pequeños vasos sanguíneos.
 |
 |
| HE-09 Esófago 10x |
 |
HE-09 Esófago 40x |
 |
- Identificar la arquitectura en capas del conducto esofágico.
- Análisis detallado de la constitución histológica de la capa mucosa, submucosa, muscular y adventicia.
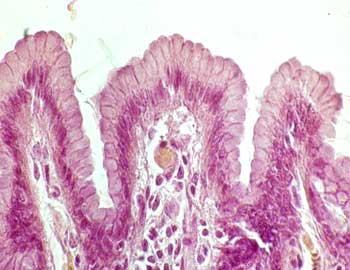
| HE-10 Estómago (Hematoxilina-eosina) |
Visión general: se trata de un pequeño fragmento de mucosa gástrica de tipo corporal. A pequeños aumentos se distingue el revestimiento mucoso superficial y la población glandular densa correspondiente a las glándulas mucosas tubulares rectas. Subyacente a las glándulas mucosas aparece una fina lámina muscular o muscularis mucosae que la separa del tejido conectivo vascular de la submucosa.
Visión específica: El epitelio de revestimiento aparece constituido por células cilíndricas mucosecretoras de polo apical cerrado constituyendo una lámina secretora. En las glándulas tubulares de la mucosa gástrica se aprecian dos tipos fundamentales de células: células parietales u oxínticas de citoplasma amplio eosinófilo y núcleo redondo pequeño central y las células principales de menor tamaño y citoplasma más basófilo y menos aparente. Entre las glándulas se aprecia un fino estroma conjuntivo que constituye la lámina propia. La muscular de la mucosa está constituida por escasa células musculares lisas.
 |
 |
| HE-10 Estómago 4x |
 |
HE-10 Estómago 10x |
 |
 |
 |
| HE-10 Estómago 20x |
 |
HE-10 Estómago 40x |
 |
- Distinguir las capas mucosas y submucosas del cuerpo gástrico.
- Características citológicas de la lámina secretora de revestimiento.
- Composición de las glándulas de la mucosa corporal gástrica.
|