| Od-7
Pabellón auricular (Orceína) |
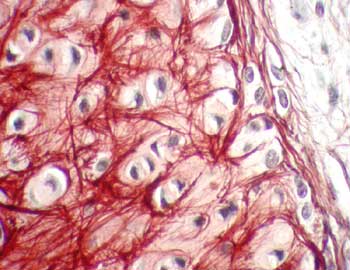
Visión general:
presentamos un corte del pabellón de la oreja de un feto a término
que interesa tanto a la epidermis como a la dermis y al eje de cartílago
elástico, con una tinción específica para las fibras
elásticas. Debemos utilizarla para identificar las fibras elásticas
y su distribución.
Visión específica: si observamos el cartílago
a mayores aumentos, podremos observar en superficie el pericondrio.
Por debajo una matriz cartilaginosa pero rica en fibras elásticas,
junto con la colágena, que presentan distinta afinidad tintorial.
Los grupos de condrocitos son, en relación a la matriz, más
abundantes que en el cartílago hialino, y generalmente dispuestos
linealmente siguiendo el eje transversal de la lámina cartilaginosa
auricular.
 |
 |
| Od-7 Pabellón auricular
(Orceína) 4x |
 |
Od-7 Pabellón auricular
(Orceína) 10x |
 |
 |
 |
| Od-7 Pabellón auricular
(Orceína) 20x |
 |
Od-7 Pabellón auricular
(Orceína) 40x |
 |
- Identificar el órgano
- Analizar la disposición del cartílago elástico
auricular
- Estudiar la matriz elástica, cuantía y distribución
respecto a las células condrales
- Señalar la organización de las condronas
- Identificar la densificación fibrosa del pericondrio
- Particularidades de la tinción en relación a este
preparado
| Od-8
Mandíbula en desarrollo (Tricrómico de Masson) |
Visión general:
se ha seleccionado un fragmento de mandíbula fetal, en periodo
de osificación, para estudiar el mecanismo endoconectivo de
obtener hueso primario. Se observan tres fragmentos en distintos estadios,
en los que debemos estudiar la celularidad propia del tejido óseo,
osteoblastos, osteocitos, osteoclastos y células bordeantes,
así como el mesénquima circundante del que están
migrando las células precursoras de hueso.
Visión específica: a mayores aumentos
veremos matriz ósea, tras la desmineralización de color
azulado, y en su interior osteocitos. En la superficie de las trabéculas
en formación ribetes epiteloideos de osteoblastos se encargan
de ir incrementando el tamaño del hueso en formación.
En otras áreas ya se han iniciado los mecanismos resortivos
del hueso a expensas de la actividad de los osteoclastos, células
multinucleadas gigantes de origen monocítico. El tejido circundante
muy bien vascularizado está poblado por células indiferenciadas
en las proximidades de la zona ósea en formación. Se
trata de elementos osteoprogenitores, y de ellas derivará todo
el linaje de los osteoblastos, osteocitos y células de las
superficies óseas, siendo estas últimas quiescentes
a la espera de activarse como respuesta a la información que
reciben del entorno, fundamentalmente de los osteocitos intramatriciales.
 |
 |
| Od-8 Mandíbula
fetal (Tricrómico) 10x |
 |
Od-8 Mandíbula
fetal (Tricrómico) 20x |
 |
- Identificar el tejido óseo en formación
- Tipificar las matriz y sus células, y diferenciarlas
del mesénquima circundante
- Particularidades de la tinción en relación a
este preparado
Visión general: hemos realizado un corte transversal, siguiendo el eje menor, en la diáfisis de un hueso largo humano sin decalcificar. Posteriormente lo hemos desgastado hasta que fue lo suficientemente fino para dejar pasar la luz, permitiendo así su visualización microscópica. En la zona periférica de la diáfisis observamos un sistema de laminillas de disposición circunferencial y lo mismo ocurre en la cara interna que vendría a continuarse con la cavidad medular. En la zona central las unidades laminares se organizan repetidamente en osteonas, quedando entre las normoconformadas las antiguas osteonas que fueron parcialmente sustituidas en los procesos de remodelación ósea.
Visión específica: si pasamos a la observación detallada a mayores aumentos, observamos en color pálido la matriz mineralizada dispuestas en láminas paralelas, que bien se adaptan al contorno de la pieza ósea, en el caso de los sistemas circunferenciales externo e interno, o bien lo hacen alrededor de un conducto vascular en el caso de las osteonas, que aparecen interconectados entre si y con las superficies por conductos transversales o de Volkmann. Entre esas laminillas se observan unos pequeños espacios lacunares oscuros, de morfología almendrada, que se corresponden con los osteoceles . Es el lugar que ocupaba el cuerpo de los osteocitos, con esta técnica no preservados. De ellos salen unos canalículos tortuosos e intercomunicados entre si y con los espacios vasculares, por donde corrían las expansiones citoplásmicas de los osteocitos permitiendo el intercambio de información y metabolitos.
 |
 |
| Od-9 Hueso (desgaste)
10x |
 |
Od-9 Hueso (desgaste)
40x |
 |
- Identificar el órgano
- Analizar los sistemas circunferenciales
- Estudiar las osteonas, asi como los conductos de Havers y de Volkmann
- Señalar el lugar que ocupaban los osteocitos y el recorrido de sus prolongaciones
- Identificar osteonas incompletas
- Particularidades de la tinción en relación a este preparado
|