| Od-15 Odontogénesis (Hematoxilina-eosina) |
Visión general: presentamos dos cortes seriados de dientes embrionarios para estudiar la formación dentaria. Por tratarse de un proceso en evolución hay que revisar los dos cortes, ya que ofrecen imágenes diferentes. Permiten identificar la odontogénesis de los dientes temporales muy avanzada, y en fases tempranas la de los dientes definitivos. Podemos evidenciar además la formación de las estructuras de vecindad, incluyendo hueso y planos musculares.
Visión específica: pasamos a la observación a mayores aumentos e identificamos la superficie en donde observaremos un epitelio oral embrionario. De él, un cordón epitelial se introduce hacia el conjuntivo y se diferencia en el esbozo dentario. Los dientes temporales se encuentran en una fase de copa-campana, por lo que podremos identificar el órgano del esmalte con sus componentes, epitelio interno, externo, y retículo estrellado, así como la papila dentaria. En continuidad con el epitelio interno veremos el esmalte en formación y en vecindad con los primeros odontoblastos la primera dentina recién formada. Por el contrario, el esbozo de los dientes permanentes está en un estadio de yema-copa.
 |
 |
| Od-15 Odontogénesis
10x |
 |
Od-15 Odontogénesis
20x |
 |
 |
 |
| Od-15 Odontogénesis
20x |
 |
Od-15 Odontogénesis
20x |
 |
 |
| |
Od-15 Odontogénesis
40x |
 |
|
 |
 |
| Od-15 Odontogénesis
10x |
 |
Od-15 Odontogénesis
40x |
 |
- Identificar el órgano
- Enumerar los criterios diferenciales de los estadios de la odontogénesis quese observan
- Identificar el esmalte en formación y los ameloblastos
- Situar la dentina y los odontoblastos
- Particularidades de la tinción en relación a este preparado
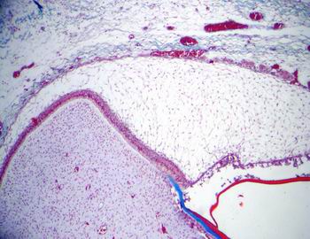
| Od-16
Odontogénesis (Tricrómico de Masson) |
Visión general: con un tricrómico ofrecemos un tercer corte para el estudio de la odontogénesis. Con esta tinción se evidencia mejor la organización del hueso en desarrollo y el músculo, alrededor de los dientes en formación.
Visión específica: a aumentos mayores compararemos la formación del esmalte en relación con el epitelio adamantino interno y la formación de la dentina en las zonas de los bordes incisales, en relación con los odontoblastos. En las áreas periféricas se puede observar cómo las células de la papila conservan su aspecto indiferenciado. Revisad la formación de la celdilla ósea alrededor del esbozo dentario.
|