Práctica de laboratorio 4. Glándulas salivales y amígdala.

    Preparado 9 - Glándula Submaxilar (Hematoxilina-eosina)

    Visión general: observamos una glándula mixta, de secreción serosa y mucosa, que nos permite también observar el componente conjuntivo constituyendo los tabiques de división de los compartimentos secretores o lóbulos, así como su propio soporte estructural.

    Visión específica: como en el preparado anterior, se observan numerosas formaciones acinares de tipo seroso, junto con tubos de secreción mucosa, y en algunas ocasiones se evidencian unidades combinadas. Entre las unidades secretoras observamos pequeños tubos excretores y capilares, mientras que a nivel de los tabiques interlobulares podemos observar el componente excretor de mayor calibre, constituido por células no secretoras, junto con los grandes vasos.

    click para ampliar click para ampliar
    Od-26 G. Submaxilar 4x click para ampliar Od-26 G. Submaxilar 10x click para ampliar
    click para ampliar click para ampliar
    Od-26 G. Submaxilar 20x click para ampliar Od-26 G. Submaxilar 20x click para ampliar

     

     

     

    Preparado 10 - Glándula Submaxilar (Azul Alcián)

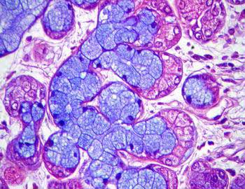
    Visión general: para estudiar las glándulas salivales mayores hemos elegido la glándula submaxilar que nos va a permitir analizar la combinación de secreción serosa y mucosa, constituyendo una glándula mixta. Permite asimismo observar el componente conjuntivo, constituyendo los tabiques de división de los compartimentos secretores o lóbulos, así como su propio soporte estructural.

    Visión específica: se observan numerosas formaciones acinares de tipo seroso. Junto a ellas y en menor número, vemos tubos de secreción mucosa que aparecen cortados tanto transversalmente como en sentido longitudinal, y coloreados específicamente con el azul alcián. En algunas ocasiones se evidencian unidades combinadas: un centro tubular mucoso y a modo de casquete periférico una medialuna serosa, cuya secreción aboca a la misma luz utilizando canalículos intercelulares. Alrededor de las unidades secretoras aparecen los conductos excretores de diferente calibre.

    click para ampliar click para ampliar
    Prep. 10 G. Submaxilar (A. Alcián) 10x click para ampliar Prep. 10 G. Submaxilar (A. Alcián) 20x click para ampliar
    click para ampliar click para ampliar
    Prep. 10 G. Submaxilar (A. Alcián) 20x click para ampliar Prep. 10 G. Submaxilar (A. Alcián) 20x click para ampliar
    click para ampliar
      Prep. 10 G. Submaxilar (A. Alcián) 40x click para ampliar  

     

     

    Preparado 11 - Amígdala lingual (Hematoxilina-eosina)

    Visión general: se aprecia el revestimiento epitelial pluriestratificado pavimentoso no queratinizado característico en superficie y en las criptas amigdalares. A nivel subyacente destaca el tejido linfoide difuso y nodular, con predominio de los folículos o nódulos secundarios.

    Visión específica: el tejido linfoide difuso, que se encuentra en íntima relación con el epitelio y rodeando los nódulos linfoides, está constituido fundamentalmente por linfocitos de pequeño tamaño y plasmocitos. Los linfocitos están en íntima relación con las células epiteliales de las criptas, llegando a verse infiltradas por ellos en sus zonas más profundas. Los nódulos linfoides secundarios presentan una cubierta celular densa oscura constituida por los linfocitos de pequeño tamaño que configuran el manto o casquete y un centro claro con población celular heterogénea destacando células grandes centroblásticas junto con células de menor tamaño de núcleo hendido de tipo centrocítico de la estirpe linfocitaria. Por debajo de todo ello aparece el tejido conjuntivo fibroadiposo, los planos musculares y glándulas mucosas linguales posteriores.

    click para ampliar click para ampliar
    Prep. 11 Amígdala 4x click para ampliar Prep. 11 Amígdala 4x click para ampliar
    click para ampliar click para ampliar
    Prep. 11 Amígdala 40x click para ampliar Prep. 11 Amígdala 40x click para ampliar

 

 


 

Los objetivos a alcanzar en esta práctica son la observación y análisis de:

  1. Arquitectura lóbulo-lobulillar
  2. Acino seroso y túbulo mucoso
  3. Unidades mixtas seromucosas y células mioepiteliales
  4. Conducto intercalar y estriado
  5. Conducto interlobulillar
  6. Amígdala: tejido linfoide, epitelial y conjuntivo

 

 

Indice de prácticas || Indice asignatura || Inicio