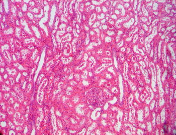
| Pod-1
Riñón (Hematoxilina-eosina) |
Visión general:
a pequeños aumentos el análisis de la sección renal
permite diferenciar una zona cortical rica en estructuras glomerulares
y tubulares y un área medular constituida fundamentalmente por
túbulos renales cortados longitudinal y transversalmente. La
utilidad de este preparado es permitir al alumno identificar distintos
tipos de epitelios simples tanto a nivel de los diferentes segmentos
de la nefrona, unidad estructural y funcional del riñón,
como de la importante vascularización que las acompañan.
Visión específica: en la zona cortical
se visualizan los corpúsculos renales con los glomérulos
u ovillos vasculares, la cápsula de Bowman y el mesangio intraglomerular.
En ellos tanto a nivel de los capilares como de la cápsula que
los envuelve veremos epitelios planos simples. Entre los distintos corpúsculos
renales observamos secciones longitudinales y transversales de los túbulos
contorneados proximales (TCP) y distales (TCD). Los TCP aparecen tapizados
por células prismáticas con superficie irregular confiriéndoles
la apariencia de que la luz está ocupada, mientras que los TCD
aparecen tapizados por células más bajas y con una luz
óptimamente vacía. Intercalados aparecen estructuras vasculares
y el intersticio de sostén, de tejido conjuntivo, escaso. En
la médula observamos grandes túbulos colectores (TC) acompañados
de otras estructuras ductales más pequeñas correspondientes
a las asas de Henle (Túbulos intermedios), estas ultimas también
recubiertas por epitelio plano simple. Los TC presentan un epitelio
prismático de células claras y oscuras y las asas de Henle
están tapizadas por células aplanadas en los segmentos
finos y células cúbicas en los porciones gruesas. El intersticio
renal medular es más abundante y contiene una gran riqueza de
vasos sanguíneos.
 |
 |
| Pod-1 Riñón
4x |
 |
Pod-1 Riñón
4x |
 |
 |
 |
| Pod-1 Riñón
10x |
 |
Pod-1 Riñón
25x |
 |
 |
 |
| Pod-1 Riñón
25x |
 |
Pod-1 Riñón
40x |
 |
- Análisis histológico diferencial de los diferentes
tipos de epitelios simples; planos en los endotelios, la cápsula
del glomérulo renal y los túbulos intermedios; y cúbicos
con variaciones en su altura en los TCP y TCD de la nefrona y los
conductos colectores.
- Estudio detallado de conjuntivo intersticial.
| Pod-3
Intestino Grueso (Azul Alcián) |
Visión general: corte de
la pared del intestino grueso como prototipo para el estudio de
las glándulas tubulares simples. Permite visualizar en
la mucosa intestinal las glándulas y el escaso tejido conjuntivo
que queda entre ellas, así como también el resto
de los constituyentes de la pared, fundamentalmente músculo
liso.
Visión específica: se permite la
visualización de un epitelio de revestimiento de la luz
de tipo cilíndrico simple, constituido por enterocitos,
muy escasos a este nivel y fundamentalmente situados en los rodetes
que quedan en la superficie libre entre las entradas de las glándulas
y las células caliciformes. Si seleccionamos el área
adecuada, se pueden ver cortes glandulares siguiendo el eje mayor,
situación que nos va a facilitar la tipificación
glandular, así como cortes transversales más útiles
para observar la interrelación con el conjuntivo. De entre
la celularidad glandular se debe identificar las células
caliciformes más pálidas, cargadas de mucoproteínas,
y en distintos estadios de repleción. El preparado permite
igualmente la visualización del conjuntivo de la mucosa
y la submucosa, así como la capa periférica de músculo
liso dispuesto tanto en sentido circular como longitudinal.
 |
 |
| Pod-3 Int. Grueso
(A. Alcián) 4x |
 |
Pod-3 Int. Grueso
(A. Alcián) 4x |
 |
 |
 |
| Pod-3 Int. Grueso
(A. Alcián) 10x |
 |
Pod-3 Int. Grueso
(A. Alcián) 10x |
 |
 |
| |
Pod-3
Int. Grueso (A. Alcián) 40x |
 |
|
-
-
Enumerar los criterios de clasificación
del tejido epitelial glandular para tipificar este preparado.
-
Identificar glándulas en corte
longitudinal y transversal.
-
Situar y valorar el conjuntivo.
-
Situar y valorar el tejido muscular liso.
-
Particularidades de la tinción
en relación a este preparado.
|