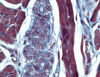
| Pod-10
Lengua (Tricrómico) |
Visión general: para estudiar
la variante esquelética estriada del tejido muscular hemos
seleccionado un corte de lengua desde su superficie epitelial hasta
la masa muscular. Tras repasar la cubierta epitelial y compararla
con otros epitelios planos estratificados estudiados, pasaremos al
conjuntivo subyacente y allí encontramos las glándulas
salivares menores así como, a escasa distancia, se inician
los tabiques que van a separar las masas de células musculares
estriadas de diferente orientación.
Visión específica: por debajo de la
superficie dorsal de la lengua identificamos, a mayores aumentos,
las células musculares estriadas. Observaremos numerosos fascículos
orientados en sentido longitudinal, y en ellos vemos a estas grandes
células cortadas siguiendo también su eje mayor. En
su citoplasma aparecen finas bandas alternantes de diferente intensidad
de coloración y el citoplasma superficial está ocupado
por varios núcleos. Si por el contrario seleccionamos una zona
en la que las fibras estén cortadas transversalmente, no se
puede evidenciar la estriación, pero si la disposición
periférica de los núcleos. Entre las células
musculares transcurren numerosos capilares, así como rodeándolas
y sirviendo de soporte los tabiques de conjuntivo, teñidos
de azul. En el conjuntivo subepitelial y entre las células
musculares vemos unidades secretoras mucosas y serosas que se corresponden
a las glándulas linguales.
 |
 |
| Pod-10 Lengua
(Tric.) 4x |
 |
Pod-10 Lengua
(Tric.) 10x |
 |
 |
 |
| Pod-10 Lengua
(Tric.) 40x |
 |
Pod-10 Lengua
(Tric.) 40x |
 |
Objetivos específicos:
- Identificar el órgano y sus componentes.
- Analizar la estriación en los cortes longitudinales.
- Visualizar la ausencia de estriación en los cortes trasversales.
- Analizar la disposición de la vascularización.
- Particularidades de la tinción en relación a este
preparado.
| Pod-11
Vasos sanguíneos (HE) |
Visión general:
el análisis histológico muestra varios vasos, de diferente
calibre, en los que se distinguen perfectamente las tres túnicas
o capas vasculares.
Visión específica: la túnica íntima
constituida por un endotelio en contacto con la luz y un tejido subintimal
con fibras colágenas y fibroblastos, separada mediante la capa
limitante elástica interna de la túnica media, con células
musculares lisas dispuestas concéntricamente a la luz, y la túnica
adventicia externa rica en fibras colágenas y vasa vasorum que
queda separada de la túnica anterior por la delgada lámina
elástica externa. Las dos estructuras vasculares acompañantes
de menor tamaño corresponden a venas cuyas luces son irregulares,
revestidas por la capa íntima limitada a endotelio, la capa media
menos prominente y con células musculares con una disposición
más helicoidal y la capa adventicia que es la túnica externa
con tejido conjuntivo laxo.
 |
 |
| Pod-11 Vasos 10x |
 |
Pod-11 Vasos 25x |
 |
 |
 |
| Pod-11 Vasos 25x |
 |
Pod-11 Vasos 10x |
 |
- Análisis diferencial de las paredes de vasos arteriales
y venosos.
- Estudio de las fibras colágenas en las paredes arteriales
y venosas.
- Estudio de las fibras elásticas configurando láminas
elásticas y fibras aisladas en las paredes vasculares.
- Particularidades de la tinción en relación a este
preparado.
| Pod-12
Cerebelo (Luxol Fast Blue) |
Visión general:
a pequeño aumento se distinguen las hendiduras cerebelosas en
la superficie del órgano con restos de tejido meníngeo,
delimitando las más pequeñas o también llamadas
hendiduras terciarias los elementos básicos de la laminilla cerebelosa.
La sustancia blanca forma el eje de la laminilla, de color azulado,
y la gris la porción periférica de dicha estructura, con
un color más rosa/azul.
Visión específica: a mayor aumento podemos
delimitar en la sustancia gris y de superficie a profundidad las tres
capas arquitecturales: capa molecular o superficial, capa de las células
de Purkinje o intermedia y capa de los granos cerebelosos o profunda.
En íntimo contacto con esta última nos encontramos con
la sustancia blanca, rica en fibras nerviosas y células gliales.
En la capa molecular, en contacto con la superficie meníngea
veremos escasas células neuronales y gliales con abundante neuropilo.
La capa de células de Purkinje se distingue por los grandes somas
piriformes neuronales de citoplasma eosinófilo y núcleo
redondeado con nucléolo evidente que en ocasiones muestra la
salida del gran tronco dendrítico en dirección a la capa
superficial. La capa de los granos es densamente celular con elementos
redondeados neuronales de pequeño tamaño con escaso neuropilo.
Por último la sustancia blanca está constituida por fibras
nerviosas y celularidad escasa glial formando el eje de la laminilla
y el tronco del cerebelo, y por contener fibras mielinizadas se tiñe
de color azul.
 |
 |
| Pod-12 Cerebelo (Luxol)
10x |
 |
Pod-12 Cerebelo (Luxol)
20x |
 |
 |
 |
| Pod-12 Cerebelo (Luxol)
40x |
 |
Pod-12 Cerebelo (Luxol)
40x |
 |
- Identificar la laminilla cerebelosa.
- Analizar las distintas capas de la sustancia gris.
- Caracterizar los elementos celulares de la capa de las células
de Purkinje.
- Resaltar las diferencias entre sustancia blanca y gris.
|