|
El epitelio
es el tejido que sirve de revestimiento a nuestras superficies corporales
y permite separar el medio interno y externo. En algunos casos forman
una barrera impermeable, como a nivel de la piel, por un mecanismo adaptativo
particular que es la queratinización, mientras que en otros permiten
la difusión de gases o líquidos a su través. Son
avasculares y se nutren por difusión desde el conjuntivo subyacente
del que se encuentran separados por una membrana basal. En general los
epitelios están constituidos por células en intima conexión,
con diferenciaciones de carácter cohesivo entre si y con la membrana
basal, así como diferenciaciones tanto de las superficies libres
como de las intercelulares en relación con su particular funcionalismo.
Objetivos:
Reconocer el tejido epitelial de revestimiento en distintos preparados;
observar sus distintas variantes, tanto por el número de estratos
(simples, estratificados, pseudoestratificados, polimorfos), como por
la forma de sus células (planas, cúbicas o cilíndricas);
observar diferenciaciones celulares adaptativas (cilios y queratinización).
Preparados: Plexos coroides, mucosa nasal, trompa uterina,
mucosa vesical, piel y cérvix uterino.
| I-1
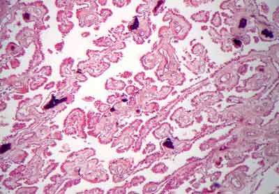
Plexos coroides (Hematoxilina-eosina) |
Visión general:
Sección de las pequeñas digitaciones de los plexos
coroides donde podemos observar un epitelio de revestimiento cúbico
simple, sobre ejes conjuntivos vascularizados. Los vasos son de diferente
tamaño y están revestidos por epitelio plano simple(endotelio).
También se observan calcificaciones correspondientes a cuerpos
de Psamona.
Visión específica: Células
isodiamétricas en único estrato, con núcleos redondos
y centrales.
- Identificar
el órgano
- Objetivar
el epitelio y diferenciarlo del conjuntivo
- Tipificar
el tipo de epitelio que encontramos en superficie
- Tipificar
el epitelio del sistema vascular
- Resaltar
las particularidades tintoriales con la técnica empleada
|
I-2 Mucosa nasal (Hematoxilina-eosina) |
Visión general: Fragmentos de cornete
nasal que permite observar en superficie un revestimiento epitelial con
aspecto de pluriestratificación, que asentando sobre un conjuntivo
con vasos y glándulas se denomina mucosa respiratoria y se mantiene
por un eje esqueletógeno en la porción media.
Visión específica: Al observar
el epitelio constatamos, a mayores aumentos, que la densidad celular y
por tanto nuclear varía en número y disposición.
En algunos campos aparecen con aspecto alargado los citoplasmas y los
núcleos en un único estrato, mientras que la forma mas habitual
de disposición es adoptando el patrón de pseudoestratificación.
Las células de reserva, triangulares y pequeñas, en los
niveles mas basales del epitelio presentan un núcleo redondeado,
las verdaderamente cilíndricas, mucho mas numerosas se encuentran
densamente dispuestas con lo que sus núcleos ovoides pueden situarse
tanto en los niveles intermedios como ocupando el citoplasma mas apical,
si bien el ultimo tercio del mismo no presenta núcleos sino las
diferenciaciones celulares que son en este tipo de epitelio dobles: las
células mas eosinófilas presentan un denso ribete de cilios
y las mas pálidas, con esta técnica, contienen secreción
de tipo mucoso.
Si estas células secretoras se presentan en pequeños grupos
las denominamos glándulas intraepiteliales, para diferenciarlas
de aquellas que observaremos en el conjuntivo, glándulas fundamentalmente
serosas. El eje de sostén es osteocartilaginoso.
 |
 |
I-2
Cornetes 10x |
|
I-2
Cornetes 20x |
|
 |
I-2
Cornetes 40x |
|
|
|
-
Identificar el órgano
-
Localizar el epitelio y enumerar su caracteres estructurales
- Distinguir
los diferentes tipos celulares que existen
-
Valorar el significado funcional de las diferenciaciones epiteliales
-
Particularidades de la tinción en relación a este preparado
|
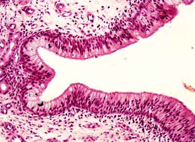
I-3 Trompa uterina (Hematoxilina-eosina) |
Visión
general: Sección transversal de trompa uterina
en la que observamos una gruesa pared de tejido músculo conjuntivo
y tapizando la luz en la porción central el revestimiento epitelial.
Visión específica: Si observamos
a mayores aumentos el epitelio, constatamos que las células se
disponen en un estrato único, siendo preferentemente cilindricas
bajas. Las células en los niveles mas basales presentan un núcleo
redondeado, mientras que apicalmente muestran un ribete de cilios y
las mas pálidas, con esta técnica, contienen fundamentalmente
glucógeno.
Objetivos
específicos:
- Identificar
el órgano
- Situar
el epitelio y enumerar su caracteres estructurales, tipos celulares
y disposición
- Distinguir
las particularidades del conjuntivo
-
Comparar las diferenciaciones epiteliales con la mucosa respiratoria
-
Paticularidades de la tinción en relación a este preparado
|
I-4 Mucosa vesical (Hematoxilina-eosina) |
Visión
general: Sección de la mucosa de la vejiga de la
orina donde se observan el componente epitelial, el soporte conjuntivo,
y en los planos profundos los fascículos musculares del detrusor.
Visión específica: Cuando observamos
el epitelio a mayores aumentos constatamos, que las células se
disponen en 6-8 estratos aparentes, siendo en cuanto a su morfología
diferentes: Pequeñas y cúbicas las basales de núcleo
redondeado, mas alargadas las intermedias, conocidas como células
en raqueta, y cúbicas pero grandes y binucleadas, con frecuencia,
las superficiales llamadas células en paraguas o de Dogiel.
El conjuntivo es ricamente celular y el músculo que se observa
en profundidad es de tipo liso.
Objetivos
específicos:
- Identificar
el órgano
-
Localizar el epitelio y enumerar su caracteres estructurales, tipos
celulares y disposición
- Catalogar
por su estructura el estadio funcional
-
Paticularidades de la tinción en relación a este preparado
|
I-5 Piel (Hematoxilina-eosina) |
Visión
general: Fragmento de epidermis y dermis correspondiente
a una piel fina de la región mamaria. Se observa tanto el tejido
epitelial como el conjuntivo y los anexos cutáneos incluyendo
fragmentos de músculo liso.
Visión específica: Se identifica
un epitelio plano pluriestratificado con diferenciación queratínica
en superficie. Cuando realizamos la observación del área
epitelial de superficie vemos que las células se disponen en
6-8 estratos, mas por la disposición de los núcleos
que no por los limites celulares que no están bien definidos.
Por su morfología y posición se identifican el estrato
basal de células pequeñas y cúbicas, el espinoso
constituido por células poliédricas de mayores dimensiones,
el granuloso constituido por una o dos capas celulares prácticamente
planas y el queratinizado en superficie con perdida de los núcleos
El conjuntivo es ricamente celular en los niveles mas superficiales
y con pocas fibras, y esta proporción se invierte en los planos
inferiores.
Objetivos
específicos:
-
Identificar el órgano
-
Situar el epitelio y el conjuntivo
-
Catalogar sus caracteres estructurales, tipos celulares y disposición
-
Paticularidades de la tinción en relación a este preparado
|
I-6 Cervix uterino (Hematoxilina-eosina) |
Visión
general: Porción de cuello de utero que muestra
el tejido epitelial plano pluriestratificado, sin diferenciación
queratínica, revistiendo la superficie libre y bajo un tejido
conjuntivo.
Visión específica: Se permite
la visualización de un epitelio en el que las células
se disponen en 6-8 estratos, igual que en el preparado anterior,
mas por la disposición de los núcleos que no por los
limites celulares. Estas células se identifican por su posición
en el estrato basal, pequeñas y cúbicas, el intermedio
de células poliédricas de mayores dimensiones y citoplasma
pálido por el contenido en glucógeno, y el estrato
superficial de células planas que conservan los núcleos
 |
 |
|
I-6
Cérvix uterino10x |
 |
I-6
Cérvix uterino 60x |
|
Objetivos
específicos:
-
Identificar el órgano
-
Catalogar sus caracteres estructurales, tipos celulares y disposición
- Situar
el conjuntivo
- Particularidades
de la tinción en relación a este preparado
|