El tejido epitelial es capaz de organizarse en estructuras
diferenciadas de carácter secretor dando lugar a las glándulas.
Por el lugar de vertido del producto de síntesis de estas células
epiteliales, clásicamente hemos diferenciado las glándulas
endocrinas y las exocrinas. Por su numero y organización pueden
presentarse como células asiladas o en pequeños grupos,
pero tambien introducirse en profundidad constituyendo verdaderas glándulas
rodeadas por tabiques conjuntivos e incluso encapsuladas.
Objetivos: Reconocer el tejido epitelial
de glandular en distintos preparados; Observar sus diferentes variantes,
tanto por el lugar del vertido (endocrinas y exocrinas) como por la naturaleza
de su secreción (serosa y mucosas) y la organización estructural
(simples, compuestas, tubulares, acinares); Tipificar el componente excretor
de las glándulas exocrinas; e identificar la relación del
epitelio glandular con el conjuntivo como soporte estructural y metabólico.
Preparados: Intestino grueso, páncreas, glándula
submaxilar, párpado, próstata y mama.
| II-1
Intestino grueso (Hematoxilina-eosina) |
Visión general:
Corte de la pared del intestino grueso como prototipo para el
estudio de las glándulas tubulares simples. Permite visualizar
en la mucosa intestinal las glandulas y el escaso tejido conjuntivo que
queda entre ellas, así como también el resto de los constituyentes
de la pared, fundamentalmente músculo liso.
Visión específica: Se permite
la visualización de un epitelio de revestimiento de la luz, constituido
por enterocitos, muy escasos a este nivel y fundamentalmente situados
en los rodetes que quedan en la superficie libre entre las entradas de
las glándulas. Se puede si seleccionamos el área adecuada,
ver cortes glandulares siguiendo el eje mayor, situación que nos
va a facilitar la tipificación glandular, como cortes transversales
mas útiles para observar la interrelación con el conjuntivo.
De entre la celularidad glandular se beben de identificar las células
más pálidas cargadas de mucosustancias, y en distintos estadios
de replección.
 |
 |
| II-1
Intestino grueso 10x |
 |
II-1
Intestino grueso 20x |
 |
- Identificar
el órgano
- Enumerar
los criterios de clasificación para tipificar este preparado
- Identificar
glándulas en corte longitudinal y transversal
- Situar
y valorar el conjuntivo
- Particularidades
de la tinción en relación a este preparado
- Identificar
el órgano
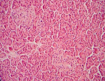
- Tipificar
la glándula pancreática y sus componentes
- Identificar
células acinares y células endocrinas
- Situar
los tubos excretores
- Particularidades
de la tinción en relación a este preparado
Objetivos
específicos:
- Identificar
el órgano
- Tipificar
la glándula y sus componentes
- Identificar
células serosas y células mucosas
- Situar
los tubos excretores y valorar sus diferentes calibres
- Particularidades
de la tinción en relación a este preparado
|
II-4 Párpado (Hematoxilina-eosina) |
Visión
general: Preparación que presenta una sección
del párpado en la que vemos tanto la cobertura externa cutánea
como la mucosa conjuntival interna. Además de ambos tipos de
epitelios, que el alumno debe repasar apoyándose en los conocimientos
ya adquiridos en la Practica I, se ofrece para estudiar anexos cutáneos,
en particular glándulas sudoríparas y sebáceas
en la superficie externa, como las glándulas sebáceas
especiales de Meibomio y las glándulas lacrimales a nivel de
la vertiente interna.
Visión específica: Se observan,
por debajo del epitelio queratinizado, pequeñas glándulas
sudoríparas en grupos como efecto del corte ya que se trata de
formaciones tubulares contorneadas. Junto a ellas mucho mas grandes
y pálidas, generalmente en continuidad con los folículos
pilosos, se pueden poner de manifiesto las glándulas acinares
que por su gradiente madurativo desde la periferia pasan a convertirse
en el centro toda la célula en producto de secreción (holocrínia).
En la cara interna y por debajo de la mucosa conjuntival se observan
grandes unidades sebáceas con un único conducto excretor
(ramificadas), son las glándulas de Meibomio; y finalmente, hacia
el vértice mas interno, un grupo de pequeñas glándulas
mas teñidas y de pequeñas células cúbicas
secretoras de liquido lacrimal.
 |
 |
| II-4
Párpado 4x |
 |
II-4
Párpado 10x |
 |
 |
 |
| II-4
Párpado 10x |
 |
II-4
Párpado 20x |
 |
Objetivos
específicos:
- Identificar
el órgano
- Tipificar
las glándulas sudoríparas y localizarlas
- Identificar
las glándulas sebáceas asociadas a folículos
cutáneos
- Situar
las glándulas de Meibomius y valorar las diferencias con las
otras sebáceas
- Localizar
y tipificar las glándulas lacrimales
- Particularidades
de la tinción en relación a este preparado
Objetivos
específicos:
- Identificar
el órgano
- Tipificar
las glándulas alveolares prostáticas normoconformadas
- Identificar
las glándulas alveolares prostáticas propias de la
senescencia
- Situar
el estroma conjuntivo y sus células
- Particularidades
de la tinción en relación a este preparado
Objetivos
específicos:
-
Identificar el órgano
- Observar
las glándulas alveolares mamarias en su diferente tipología
- Identificar
el estroma y su compartimento excretor
- Particularidades
de la tinción en relación a este preparado
|