|
El sistema linfoide aparece representado en esta práctica como
un conjunto de preparados de órganos periféricos que incluyen
tejidos MALT (apéndice y amígdala) y órganos encapsulados
como ganglio linfático y bazo así como uno de los órganos
centrales (timo). Con las secciones teñidas con HE no podemos diferenciar
con facilidad los componentes del tejido linfoide difuso y nodular pero
sí apreciar las células más características
y abundantes, los linfocitos.
Objetivos:
Reconocer la organización histológica característica
de los órganos linfoides profundizando en su arquitectura y en
las características citológicas de las células linfoides.
Preparados:
Apéndice vermiforme, amígdala palatina, ganglio linfático,
bazo y timo.
| IX-1
Apéndice vermiforme (Hematoxilina-eosina) |
Visión general: Sección de
un conducto apendicular. Obsérvese la luz revestida por la mucosa
configurando escasas glándulas tubulares rectas sostenidas por
una lámina propia rica en tejido linfoide difuso con presencia
de acúmulos linfoides nodulares que protruyen en la submucosa.
Por fuera nos encontramos con la capa muscular y la capa serosa.
Visión
específica: Se observa el componente linfocitario
y plasmocitario del tejido linfoide difuso que constituye parte de los
elementos de la lámina propia así como los acúmulos
linfoide nodulares primarios con celularidad monomorfa linfocitaria y
los folículos linfoide secundarios o centros germinales con su
característica heterogeneidad celular.
-
Delimitar la disposición geográfica del tejido linfoide
propio del la apéndice.
- Diferenciar
el tejido linfoide difuso del nodular.
|
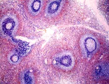
IX-2 Amígdala palatina (Hematoxilina-eosina) |
Visión
general: Se aprecia en superficie y en las criptas amigdalares
el revestimiento epitelial pluriestratificado pavimentoso no queratinizado
característico. A nivel subyacente destaca el tejido linfoide
difuso y nodular con predominio de los folículos o nódulos
secundarios.
Visión
específica: El tejido linfoide difuso, que se encuentra
en íntima relación con el epitelio y rodeando los nódulos
linfoides, está constituido fundamentalmente por linfocitos de
pequeño tamaño y plasmocitos. Los linfocitos están
en intima relación con las células epiteliales de las
criptas llegando a verse infiltradas por ellos en sus zonas más
profundas. Los nódulos linfoides secundarios presentan una cubierta
celular densa oscura constituida por los linfocitos de pequeño
tamaño que configuran el manto o casquete y un centro claro con
población celular heterogénea destacando celulas grandes
centroblásticas junto con células de menor tamaño
de núcleo hendido de tipo centrocítico de la estirpe linfocitaria.
 |
 |
| IX-2
Amígdala 10x |
 |
IX-2
Amígdala 20x |
 |
-
Analizar la morfología del tejido linfoide amigdalar y su relación
con el epitelio de la cripta.
- Analisis
diferencial del tejido linfoide difuso y nodular con sus características
citológicas.
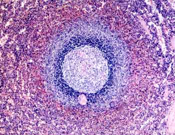
Objetivos
específicos:
- Análisis
de la organización arquitectural histológica del ganglio
linfático.
- Estudio
de la cápsula y del seno marginal
- Análisis
de la zona cortical ganglionar externa con diferenciación del
tejido linfoide difuso y nodular.
- Relación
del tejido linfoide y vascular en la zona medular ganglionar.
Objetivos
específicos:
-
Arquitectura general del parénquima esplénico con distinción
de pulpa blanca y pulpa roja
- Análisis
de la pulpa blanca.
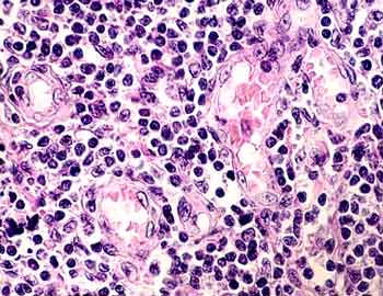
-
Análisis de la arquitectura tímica.
-
Estudio de las características celulares linfocitarias de
la cortical tímica.
- Analisis
de la medular tímica con descripción de las células
reticuloepiteliales.
|