|
El
sistema endocrino aparece representado en esta práctica por una
serie de órganos cuyo denominador común es la producción
y secreción de péptidos hormonales al torrente circulatorio,
por tanto son órganos con un estroma ricamente vascularizado. Empleamos
técnicas estándar de HE para observar la celularidad endocrina
típica y técnica de tricrómico de Masson que delinearan
el estroma fibrovascular, tiñendo de azul las fibras de colágeno
y de rojo rutilante los eritrocitos.
Objetivos:
Reconocer la arquitectura histológica de diferentes órganos
pertenecientes al sistema endocrino, haciendo énfasis en su celularidad
parenquimatosa y su relación con el estroma fibrocapilar.
Preparados:
Hipófisis, tiroides, paratiroides, páncreas y suprarrenal.
| X-1
Hipófisis (Hematoxilina-eosina) |
Visión general: A pequeño
aumento se distingue un órgano sólido con una fina cubierta
conectiva periférica, delimitándose dos áreas diferenciadas.
La zona de mayor tamaño y predominante, densamente celular correspondiente
a la adenohipófisis y separada de esta por un tabique fibrovascular
una a zona de menor tamaño, fibrilar con menor densidad celular
que corresponde a la neurohipófisis.
Visión
específica: La zona adenohipofisária presenta
una celularidad de hábito epitelial configurando un patrón
de cordones y nidos delimitados por estroma fino ricamente vascularizado.
Se distinguen tres tipos fundamentales de células: células
eosinófilas de citoplasma acidófilo amplio y núcleo
pequeño redondeado, células basófilas de menor tamaño,
y núcleo de mayor tamaño, también central y redondeado
y células cromófobas de citoplasma inconspicuo, levemente
teñido. El área neurohipofisaria está constituida
por fibras nerviosas con varicosidades o cuerpos de Herring eosinófilos
y células gliales o pituicitos de citoplásma difícil
de distinguir.
 |
 |
| X-1
Hipófisis 10x |
 |
X-1
Hipófisis 40x |
 |
- Distinguir
las dos porciones de la glándula hipofisaria: adenohipófisis
y neurohipófisis
- Estudiar
las distintas poblaciones de la adenohipófisis
- Analizar
la arquitectura de la neuroihipófisis
|
X-2 Tiroides (Hematoxilina-eosina) |
Visión
general: Se trata de una glándula con arquitectura
folicular característica. A pequeños aumentos se distinguen
estructuras foliculares de distintos tamaños con un contenido
eosinófilo denominado coloide. Los distintos folículos
están acompañados de un conectivo rico en vasos sanguíneos.
Visión
específica: Los folículos de gran tamaño
aparecen distendidos por su contenido coloide y tapizados por un epitelio
simple aplanado, mientras que los folículos de pequeño
tamaño presentan un clásico epitelio cúbico bien
definido. Alrededor de determinados foliculos vemos algunos acúmulors
de células claras, correspondientes a las células C o
parafoliculares. El estroma interfolicular presenta células que
en ocasiones corresponden a una visión de acúmulos de
celulas C que revisten el foliculo pero al corte quedan dando una falsa
visión de células localizadas entre folículos.
 |
 |
| X-2
Tiroides 10x |
 |
X-2
Tiroides 40x |
 |
-
Delimitar la arquitectura folicular distinguiendo elementos de distinto
tamaño.
-
Analizar el epitelio folicular del tiroides.
-
Localizar y estudiar las células parafoliculares.
|
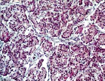
X-3 Paratiroides (Tricrómico de Masson) |
Visión
general: La sección analizada muestra un tejido
glandular asociado a numerosos vasos sanguíneos de pequeño
y gran tamaño con tabiques fibrosos ricos en fibras colágenas
teñidas de azul que delimitan lobulillos. Existe un estroma rico
en adipositos junto con el parénquima glandular sustentado todo
ello con tejido conectivo.
Visión
específica: El análisis del parénquima
paratiroideo muestra una celularidad mayoritaria de células principales
formando pequeños nidos algunas de ellas de citoplasma basófilo,
otras de citoplasma más pálido. Junto a ellas de manera
aislada o formando pequeños grupos nos encontramos con las células
oxífilas de mayor tamaño y citoplasma intensamente eosinófio
granular. Todos el parénquima glandular queda sostenido por una
fina trama de tejido conectivo cuyas fibras de colágena se tiñen
de azul.
 |
 |
| X-3
Paratiroides (Tric.) 10x |
 |
X-3
Paratiroides (Tric.) 40x |
 |
Objetivos
específicos:
- Analizar
la arquitectura lobulillar de la glándula paratiroides.
- Estudio
de la población parenquimatosa: células principales
y células oxífilas.
- Análisis
del conectivo fibrovascular de sostén.
Objetivos
específicos:
-
Diferenciar a pequeño aumento las áreas endocrina y
exocrina del páncreas.
-
Estudio de las características citológicas de los islotes
de Langerhans.
- Distinguir
las estructuras corticales y medulares de la glándula suprarrenal.
-
Analizar las distintas capas de la cortical suprarrenal distinguiendo
la organización y las características celulares
-
Estudiar la celularidad medular
|