|   Esta 
        práctica microscópica está dedicada a alguno de los 
        componentes del aparato digestivo, tanto en lo que se refiere al tubo 
        digestivo como a las glándulas anexas. Determinadas porciones del 
        tubo digestivo como el intestino delgado y grueso han sido ya analizadas 
        en loas prácticas precedentes, así como las distintas glándulas 
        aneXIas salivares, pancreática y hepática. Objetivos: 
        Analizar las características arquitecturales, citológicas 
        y estromales de distintas porciones del aparato digestivo. Con carácter 
        particular se analiza la estructura de una pieza dentaria obtenida por 
        la técnica de desgaste que preserva la arquitectura al no someter 
        a descalcificación la pieza.  Preparados: 
        Diente, esófago, estómago, hígado.    
         
          | XI-1 
            Diente (Corte por desgaste) |  Visión general: A pequeños 
        aumentos distinguimos la porción coronaria y la porción 
        radicular de la pieza dentaria. La corona presenta una porción 
        superficial o esmalte subyacente a la cual encontramos la dentina coronaria. 
        La raíz presenta una porción periférica o cemento 
        que rodea a la dentina radicular. Centralmente nos encontramos con la 
        cavidad pulpar, con material orgánico desestructurado que corresponde 
        a la pulpa.
 Visión 
        específica: El esmalte aparece constituido por un 
        tejido rico en material inorgánico constituyendo los prismas del 
        esmalte o estructuras en ojo de cerradura. La dentina se observa como 
        una matriz surcada por los túbulos dentinarios en forma de S itálica 
        cuando son seccionados longitudinalmente o como pequeños estructuras 
        tubulares al coste tranversal presentado en su interior la fibra de Tomes 
        de los odontoblastos. La unión amelodentinaria presenta los diferentes 
        accidentes de la unión. El cemento acelular en la región 
        superior y superficial de la raíz se distingue del cemento celular, 
        constituido este último por cementocitos (células pequeñas 
        alojadas en lagunas con canalículos celulares) rodeados de matriz. 
          
        
           
            |  |  |   
            | XI-1 
              Diente (Corte por desgaste) 4x |  | XI-1 
              Diente (Corte por desgaste) 10x |  |  
        
          Distinguir 
            las porciones coranarias y radiculares de la pieza dentaria. 
            Estudio de las caracteristicas del esmalte, dentina, cemento y pulpa. 
            
 
        
          Identificar 
            la arquitectura en capas del conducto esofágico. 
            Análisis detallado de la constitución histológica 
            de la capa mucosa, submucosa, muscular y adventicia.
 
    
        
          Distinguir 
            las capas mucosas y submucosas del cuerpo gástrico 
            Características citológicas de la lámina secretora 
            de revestimiento 
            Composición de las glándulas de la mucosa corporal gástrica 
                  Objetivos 
        específicos:  
        
           
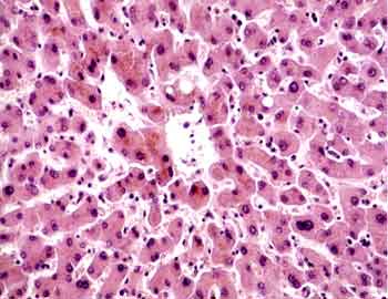
            Estudio arquitectural del lobulillo hepático 
            Análisis de los componentes del espacio porta. 
            Estudio de las trabéculas hepáticas y su relación 
            con la vena central.
   |