Práctica 3:

IB-9 Pulmón (Hematoxilina-eosina)

Visión general: a pequeños aumentos observamos que mayoritariamente está ocupado por alveolos pulmonares que, a modo de saco, están comunicados entre sí y revestidos por una pared muy fina. Entre ellos podemos observar porciones conductores, concretamente bronquios porque están acompañados por cartílago. Así mismo se observan estructuras vasculares de tipo arterial y venoso.

Visión específica: a mayores aumentos podemos observar con detalle la porción conductora del árbol bronquial. Se trata de un bronquio cuya pared está revestida por un epitelio pseudoestratificado cilíndrico ciliado con células caliciformes, descansando sobre una membrana basal bien desarrollada. Por debajo hay una lámina propia muy delgada junto con fibras musculares lisas de citoplasma eosinófilo y núcleo central de trayecto discontinuo. Por fuera hay una submucosa formada por tejido conjuntivo laxo con glándulas que a estos aumentos no se aprecian bien. Por el contrario, se observan muy bien las placas cartilaginosas discontinuas rodeadas de pericondrio, envueltas externamente por una capa de tejido conjuntivo de densidad moderada en forma de adventicia, que se continua con la adventicia del vaso sanguíneo que le acompaña.

A grandes aumentos podemos observar también la estructura del alveolo. El componente central de la pared es un capilar y en ciertos sitios hay tejido conjuntivo asociado. A cada lado, donde enfrenta el alveolo, hay interpuesta entre el capilar y los espacios aéreos, una célula pavimentosa aplanada, el neumocito de tipo I. En algunos sitios, el neumocito de tipo I está separado de la célula endotelial capilar por una sola lámina basal compartida por las dos células. Esta es la porción delgada del complejo alveolo-capilar. El segundo tipo celular, el neumocito tipo II, también reviste el espacio aéreo alveolar. Tiene forma típicamente cubica o redondeada y el núcleo está rodeado por una perceptible cantidad de citoplasma. Produce un agente tensioactivo que permite que el pulmón se expanda.

click para ampliar click para ampliar
IB-9 Pulmón 4x click para ampliar IB-9 Pulmón 4x click para ampliar
click para ampliar click para ampliar
IB-9 Pulmón 10x click para ampliar IB-9 Pulmón 40x click para ampliar
click para ampliar
    IB-9 Pulmón 40x click para ampliar  

 

 

 

 

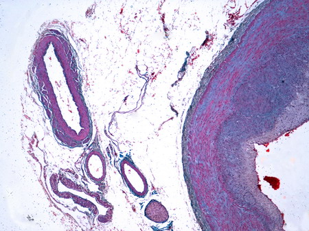
IB-10 Vasos sanguíneos (Tricrómico de Masson)

Visión general: a pequeños aumentos observamos una arteria y una vena muscular más grandes y vasos más pequeños junto con un nervio pequeño. La arteria, a la derecha, muestra una pared formada por tres capas: la íntima está formada a su vez por una capa de células endoteliales y una capa subintimal gruesa de tejido conjuntivo laxo. La media se distingue bien porque está formada por varias capas de células musculares lisas que aparecen más intensamente teñidas, eosinófilas. Por fuera, la adventicia de tejido conectivo laxo. A la izquierda observamos una vena mediana cuya pared también está formada por la íntima, la media y la adventicia pero la adventicia está más irregularmente ordenada.

Visión específica: a mayores aumentos la arteria nos permite distinguir muy bien la capa íntima revestida por un endotelio muy fino, ligeramente ondulado y una capa subintimal gruesa con fibras de colágeno abundantes y algunas fibras musculares lisas. La membrana elástica interna prominente y ondulada separa la capa íntima de la media. Esta última está formada por células musculares lisas dispuestas concéntricamente, situadas entre fibras de colágena y una cantidad relativamente escasa de material elástico. En esta capa no hay fibroblastos. La capa más externa, la adventicia es más estrecha que la media y está formada por fibras de colágenas, fibras elásticas y fibroblastos. También contiene vasa vasorum, no apreciables en la imagen.

La vena a mayores aumentos nos muestra una íntima bastante más delgada que la de la arteria teñida de azul y una membrana elástica limitante interna que separa la capa íntima de la media. La capa media está formada por varias hileras de células musculares lisas dispuestas concéntricamente entre fibras colágenas que se observan de color azulado. La túnica adventicia es típicamente más gruesa que la capa media y se compone de fibras colágenas, redes de fibras elásticas y células musculares lisas.

click para ampliar click para ampliar
IB-10 Vasos sanguíneos (Tricr.) 4x click para ampliar IB-10 Vasos sanguíneos (Tricr.) 10x click para ampliar
click para ampliar
    IB-10 Vasos sanguíneos (Tricr.) 20x click para ampliar  

 

 

 

 

IB-11 Hígado (Hematoxilina-eosina)

Visión general: a pequeños aumentos se analiza la arquitectura lobulillar clásica de la glándula hepática que tiene forma hipotética hexagonal. En el centro del hexágeno se encuentra una luz vascular que corresponde a una vena centrolobulillar. En la periferia, formándo los ángulos del hexágeno, distinguimos los espacios triangulares o espacios porta, constituidos por estructuras vasculares y canaliculares biliares sostenidas por un tejido conectivo. El espacio entre la vena centrolobulillar y los espacios porta aparece ocupado por cordones o trabéculas de células hepáticas rodeadas por sinusoides vasculares, que se extienden radialmente.

Visión específica: a mayores aumentos observamos la arquitectura de un espacio porta. Presenta una trama de tejido colágeno en el seno de la cual apreciamos una arteria con pared muscular más gruesa y luz regular, correspondiente a una rama de la arteria hepática, una estructura venosa de luz irregular y amplia con delgada pared, correspondiente a una rama de la vena porta y un conducto biliar tapizado por epitelio cúbico, correspondiente a un conducto biliar interlobulillar. Se observa una vena centrolobulillar revestida por endotelio. Las trabéculas o cordones parenquimatosos están constituidos por hepatocitos de citoplasma eosinófilo y núcleo redondeado, en ocasiones binucleados. Los sinusoides intertrabeculares están tapizados por células endoteliales y por células pleomórficas pertenecientes a las células de Küpffer.

click para ampliar click para ampliar
IB-11 Hígado 4x click para ampliar IB-11 Hígado 10x click para ampliar
click para ampliar click para ampliar
IB-11 Hígado 10x click para ampliar IB-11 Hígado 20x click para ampliar

 

 

 

 

IB-12 Riñón (Hematoxilina-eosina)

Visión general: corte histológico que incluye la corteza y parte de la médula. En el límite entre ambas hay varios contornos de arterias y venas arciformes. La característica más distintiva de la corteza renal es la presencia de los corpúsculos renales, estructuras esferoidales que consisten en un glomérulo rodeado por la cápsula de Bowman. También se ven grupos de túbulos más o menos rectos y con disposición radial desde la base de la médula, son los rayos medulares. La médula se distingue por su tinción más pálida y por la presencia de túbulos que describen curvas suaves cortados longitudinal o transversalmente.

Visión específica: la corteza renal se caracteriza por la presencia de corpúsculos renales (en el laberinto cortical). Aparecen como estructuras esferoidales de relativamente gran tamaño. Se distingue en el centro el glomérulo formado un ovillo vascular envuelto por las células mesangiales y rodeado por la cápsula de Bowman que tiene dos partes: una hoja o capa parietal formada por células epiteliales planas organizadas en un solo estrato y la hoja visceral que consiste en células, llamadas podocitos, que revisten la superficie externa de los capilares glomerulares, que son difíciles de distinguir a microscopía óptica. Las dos hojas delimitan un espacio claro llamado espacio urinario. En esta imagen, en uno de los glomérulos se observa el polo vascular y una mácula densa con las células epiteliales más apiñadas. Por fuera de los glomérulos se encuentran los túbulos (forman los rayos medulares) que pueden ser contorneados proximales, contorneados distales y/o colectores. Los contorneados proximales son más abundantes, están revestidos por un epitelio simple cilíndrico bajo con microvellosidades en el polo apical formando el ribete en cepillo, tienen un diámetro externo mayor y poseen una luz con forma estrellada. Los contorneados distales están revestidos por un epitelio cúbico simple y tienen una superficie luminal más nítida y mejor definida. El intersticio en la corteza es muy escaso.

click para ampliar click para ampliar
IB-12 Riñón 2,5x click para ampliar IB-12 Riñón 20x click para ampliar
click para ampliar click para ampliar
IB-12 Riñón 40x click para ampliar IB-12 Riñón 20x click para ampliar

 

 

 

 

Indice de prácticas || Práctica 1 || Inicio || Indice de la asignatura