|
Esta
práctica microscópica está dedicada a alguno de los
componentes del aparato digestivo, tanto en lo que se refiere al tubo
digestivo como a las glándulas anexas. Determinadas porciones del
tubo digestivo como el intestino delgado y grueso han sido ya analizadas
en loas prácticas precedentes, así como las distintas glándulas
aneXIas salivares, pancreática y hepática.
Objetivos:
Analizar las características arquitecturales, citológicas
y estromales de distintas porciones del aparato digestivo. Con carácter
particular se analiza la estructura de una pieza dentaria obtenida por
la técnica de desgaste que preserva la arquitectura al no someter
a descalcificación la pieza.
Preparados:
Diente, esófago, estómago, hígado.
| XI-1
Diente (Corte por desgaste) |
Visión general: A pequeños
aumentos distinguimos la porción coronaria y la porción
radicular de la pieza dentaria. La corona presenta una porción
superficial o esmalte subyacente a la cual encontramos la dentina coronaria.
La raíz presenta una porción periférica o cemento
que rodea a la dentina radicular. Centralmente nos encontramos con la
cavidad pulpar, con material orgánico desestructurado que corresponde
a la pulpa.
Visión
específica: El esmalte aparece constituido por un
tejido rico en material inorgánico constituyendo los prismas del
esmalte o estructuras en ojo de cerradura. La dentina se observa como
una matriz surcada por los túbulos dentinarios en forma de S itálica
cuando son seccionados longitudinalmente o como pequeños estructuras
tubulares al coste tranversal presentado en su interior la fibra de Tomes
de los odontoblastos. La unión amelodentinaria presenta los diferentes
accidentes de la unión. El cemento acelular en la región
superior y superficial de la raíz se distingue del cemento celular,
constituido este último por cementocitos (células pequeñas
alojadas en lagunas con canalículos celulares) rodeados de matriz.
 |
 |
| XI-1
Diente (Corte por desgaste) 4x |
 |
XI-1
Diente (Corte por desgaste) 10x |
 |
- Distinguir
las porciones coranarias y radiculares de la pieza dentaria.
-
Estudio de las caracteristicas del esmalte, dentina, cemento y pulpa.
- Identificar
la arquitectura en capas del conducto esofágico.
-
Análisis detallado de la constitución histológica
de la capa mucosa, submucosa, muscular y adventicia.
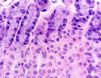
- Distinguir
las capas mucosas y submucosas del cuerpo gástrico
-
Características citológicas de la lámina secretora
de revestimiento
-
Composición de las glándulas de la mucosa corporal gástrica
Objetivos
específicos:
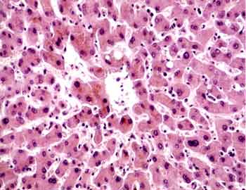
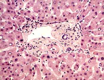
-
Estudio arquitectural del lobulillo hepático
-
Análisis de los componentes del espacio porta.
-
Estudio de las trabéculas hepáticas y su relación
con la vena central.
|