Esta práctica microscópica se destina a evaluar las características
histológicas básicas de diferentes órganos sólidos
adultos del ser humano con especial dedicación a los órganos
constitutivos del aparato genital femenino y masculino, así como
a la arquitectura histológica del parénquima pulmonar y
renal.
Objetivos:
Conocer los elementos celulares parenquimatosos y estromales que configuran
la arquitectura histológica de órganos sólidos.
Preparados: Pulmón, riñón, ovario,
útero, testículo y epidídimo.
| XII-1
Pulmón (Hematoxilina-eosina) |
Visión
general: A pequeños aumentos distinguimos la arquitectura
pulmonar característica con los espacios aireados óptimamente
vacíos y delimitados por tabiques finos o septos alveolares. Junto
con estas estructuras se aprecian tabiques fibrosos más gruesos
con vasos arteriales de mediano y pequeño calibre así como
luces bronquiolares de distintos tamaños.
Visión
específica: Los espacios alveolares aparecen tapizados
por células aplanadas neumocitarias, alguna de las cuales ubicadas
en los ángulos de intersección alveolar presentan una morfología
cúbica correspondientes a neumocitos tipo II. En algunas luces
alveolares aparecen células macrofágicas. Los finos tabiques
alveolares contienen capilares, fibroblastos y algún macrófago
de los septos. En los tabiques más gruesos detallamos la presencia
de arterias musculares junto con bronquiolos con su epitelio cilíndrico
ciliado con células mucosecretoras y su soporte parietal fundamentalmente
constituido por células musculares lisas.
 |
 |
| XII-1
Pulmón 10x |
|
XII-1
Pulmón 20x |
|
 |
 |
XII-1
Pulmón 40x |
|
XII-1
Pulmón 60x |
|
- Estudio
de los componentes celulares del alveolo y tabique alveolar.
- Características
de la vascularización y vía aérea bronquiolar
|
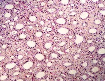
XII-2 Riñón (Hematoxilina-eosina) |
Visión
general: A pequeños aumentos el análisis de la
sección del parénquima renal permite diferenciar una zona
cortical rica en estructuras glomerulares y tubulares y un área
medular constituida fundamentalmente por túbulos renales cortados
longitudinal y transversalmente.
Visión
específica: En la zona cortical se visualizan los glomérulos
con el ovillo vascular, la cápsula de Bowman y el mesangio intraglomerular.
Entre los distintos glomérulos observamos secciones longitudinales
y transversales de los túbulos contorneados proximales (TCP)
y distales (TCD). Los TCP aparecen tapizados por células prismáticas
con superficie irregular confiriéndoles la apariencia de que
la luz está ocupada mientras que los TCD aparecen tapizados por
células más bajas y con una luz óptimamente vacía.
Intercalados aparecen estructuras vasculares y el intersticio de sostén
escaso. En la médula observamos grandes túbulos colectores
(TC) acompañados de otras estructuras ductales más pequeñas
correspondientes a las asas de Henle. Los TC presentan un epitelio prismático
de células claras y oscuras y las asas de Henle están
tapizadas por células aplanadas en los segmentos finos y células
cúbicas en los porciones gruesas. El intersticio renal medular
es más abundante y contiene una gran riqueza de vasos sanguíneos.
 |
 |
XII-2
Riñón 10x |
|
XII-2
Riñón 40x |
 |
 |
XII-2
Riñón 60x |
|
|
- Análisis
histológico diferencial de las porciones cortical y medular
del parénquima renal.
- Estudio
detallado de los componentes glomerular, tubular, vascular e intersticial.
|
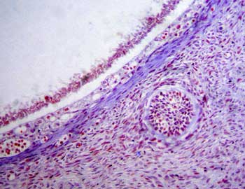
XII-3 Ovario (Tricrómico de Masson) |
Visión
general: A pequeños aumentos podemos distinguir la cortical
ovárica, en la que se aprecian junto con pequeños folículos
primordiales, la presencia de foliculos primarios, secundarios y terciarios
o de De Graaf, sostenidos por el estroma rico en vasos sanguíneos.
Visión
específica: La cortical ovárica aparece parcialmente
revestida por restos del epitelio germinal sostenido por la albuguínea
fibrosa. Se aprecian numerosos folículos primordiales con su
ovocito y células capsulares aplanadas. Los folículos
primarios unilaminares y multilaminares están compuestos por
un ovocito con su zona pelúcida y una o varias capas de células
poligonales de la granulosa separadas por un lamina basal de los células
de la teca. Los folículos secundarios o antrales presentan junto
con las mismas estructuras, aunque más desarrolladas, un espacio
vacío configurando el antro folicular. Se diferencia en la teca
una capa interna de células poligonales muy vascularizadas y
una capa externa de células más fusiformes. El folículo
maduro o terciario, de gran tamaño, presenta un ovocito excéntrico
rodeado del cúmulo ovigero, una gran cavidad antral revestida
por las células de la granulosa y externamente las células
de la teca. El estroma es de aspecto fibroblástico con abundantes
vasos sanguíneos.
 |
 |
| XII-3
Ovario(Tric.) 20x |
|
XII-3
Ovario(Tric.) 20x |
|
 |
XII-3
Ovario(Tric.) 40x |
 |
|
Objetivos
específicos:
- Estudio
de la arquitectura histológica de la cortical ovárica,
diferenciando el componente germinal del estrómico.
- Análisis
detallado de los distintos folículos y sus capas, así
como del epitelio superficial.
|
XII-4 Endometrio (Hematoxilina-eosina) |
Visión
general: Visión general. A pequeños aumentos
se diferencian claramente dos capas de la pared uterina: una central
tapizando una luz estrecha y con un componente glandular tubular correspondiente
a la mucosa endometrial y una densa capa muscular rica en vasos sanquineos
correspondiente al miometrio.
Visión
específica: A grandes aumentos el endometrio tapiza
una estrecha luz uterina mediante células cilindricas ocasionalmente
ciliadas, estas células configuran estructuras tubulares rectas
de diferentes tamaños sostenidas por un estroma compacto de aspecto
fibroblástico. La pared miometrial aparece constituida por fascículos
de células musculares lisas entrecruzados acompañados
de endomisio.
Objetivos
específicos:
- Características
generales de las capas uterinas endometrial y miometrial.
- Estudio
detallado de la mucosa endometrial.
|
XII-5 Testículo y epididimo (Hematoxilina-eosina) |
Visión
general: Visión general. A pequeños aumentos
distinguimos dos zonas estructurales diferentes correspondientes
al parenquima gonadal testicular y al sistema ductal canalicular
de la vía epididimaria.
Visión
específica: Los túbulos seminíferos
en detalle presentan una fina capa basal con células
mioepiteloideas. Formando la pared de los túbulos seminíferos
nos encontramos con la sucesión en múltiples capas
de células de sostén o de Serloli y de células
germinales (espermatogonias, espaermatocitos y espemátides).
En algunos de los túbulos encontramos espermatozoides
maduros en la luz. El intersticio es laxo con capilares y células
eosinófilas de Leydig. El epidídimo se observa
como un conjunto de luces tubulares tapizadas por un epitelio
prismático ciliado y un material luminal de aspecto fibrilar
denso de espermatozoides.
Objetivos
específicos:
- Análisis
histológico diferencial del parénquima germinal
testicular y del epidídimo.
- Estudio
pormenorizado del epìtelio germinal de los túmulos
seminíferos y del epididimario
|