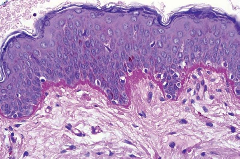
CLdermatopat --Unión dermo-epidermica. La membrana basal en
microscopía óptica se obseva como una membrana amorfa eosinofilica que se tiñe
positivamente con la tinción de PAS
Primera |
Imagen anterior |
Imagen siguiente |
Última | Miniaturas
volver a resumen de clase
