


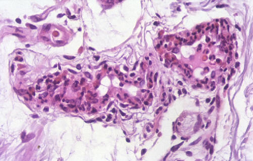
La imágen histológica de la vasculitis leucocitoclásica de
pequeño vaso se caracteriza por el edema endotelial e
infiltración de la pared vascular por polimorfonucleares con
fragmentación de los núcleos (leucocitoclasia), hemorragia y
trombosis.

La tinción de PAS revela un discreto infiltrado perivascular linfocítico y polimorfonuclear con lecucocitoclasia y depósitos de fibrina, diagnósticos de vasculitis leucocitoclástica(imagen 2: Wounds11(4):87-89, 1999)