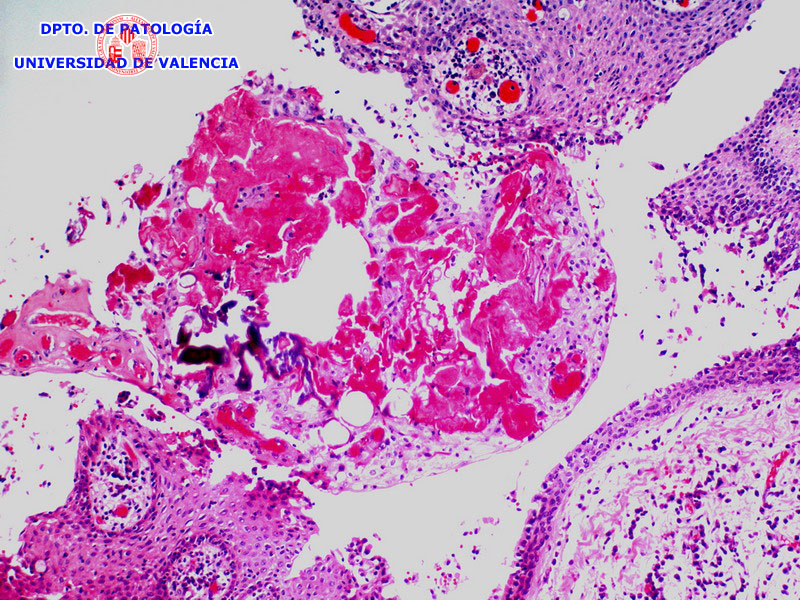
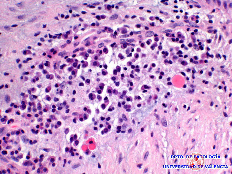
II-1 Granuloma apical con áreas de parcial epitelización
Se trata de una lesión del ápice dental en la que se aprecia un denso infiltrado inflamatorio crónico de predominio linfoplasmocitario rodeando algunas áreas de aspecto cavitado, algunas de las cuales muestran focos de epitelización interna por un epitelio malphigiano de espesor variable. Periféricamente la lesión inflamatoria está muy atenuada y se sitúa en transición a un tejido fibroso denso (scar tissue). Dentro de las áreas inflamatorias se detectan algunas especulas óseas necróticas, focos de calcificación distrófica y restos de gutapercha (material de obturación, como estigma de una endodoncia previa).
II-1 Granuloma apical con áreas de parcial epitelización
Se trata de una lesión del ápice dental en la que se aprecia un denso infiltrado inflamatorio crónico de predominio linfoplasmocitario rodeando algunas áreas de aspecto cavitado, algunas de las cuales muestran focos de epitelización interna por un epitelio malphigiano de espesor variable. Periféricamente la lesión inflamatoria está muy atenuada y se sitúa en transición a un tejido fibroso denso (scar tissue). Dentro de las áreas inflamatorias se detectan algunas especulas óseas necróticas, focos de calcificación distrófica y restos de gutapercha (material de obturación, como estigma de una endodoncia previa).
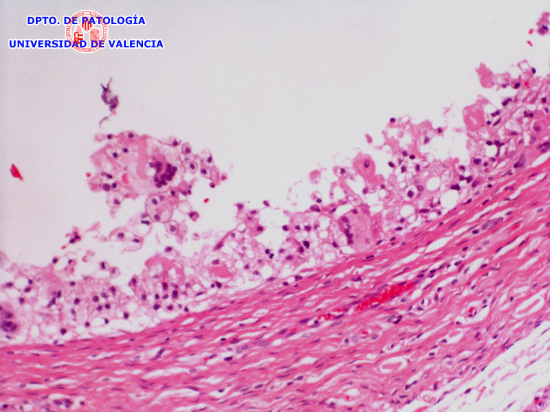
II-3 Mucocele labial (mucocele por retención)
Se trata de una mucosa labial que en el espesor de su estroma muestra una glándula salival menor de aspecto atrófico con áreas glandulares microsquísticas. En vecindad a la mucosa existe una cavidad dilatada rellena parcialmente por material mucoide. Existe otra área ductal dilatada desprovista o erosionada de epitelio, con una reacción macrofágica de aspecto espumoso (foam cells), con ocasional presencia de células gigantes multinucleadas tipo cuerpo extraño.





