| IB-5 Hueso descalcificado (Hematoxilina-eosina) |
Visión general:
sección de hueso largo de conejo que nos muestra desde la epífisis hasta la diáfisis, incluyendo la cavidad medular.
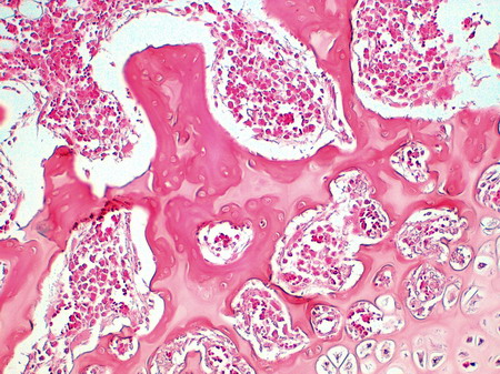
Fig. 1: en la primera imagen se observa un fragmento de epífisis constituida por una fina lámina de hueso compacto, eosinófila, en continuidad con la metáfisis. Ésta está formada por cartílago hialino dispuesto en varias capas:
- cartílago en reposo, en contacto directo con la epífisis, de la cual se distingue porque la matriz cartilaginosa se observa mucho más pálida y entre ella se sitúan los condrocitos.
- cartílago seriado, donde los condrocitos se disponen formando pilas de monedas,
- cartílago hipertrófico,
- cartílago mineralizado, donde se han degenerado los condrocitos dejando una cavidad que será colonizada por las células óseas para formar hueso según osificación endocondral.
Fig. 2: en la periferia de la caña diafisaria encontramos una capa de hueso compacto con los sistemas laminares y osteonas en formación. Externamente rodeado por el periostio e internamente por el endostio, en continuidad con la médula ósea rica en adipocitos.
Fig. 3: trabécula ósea en formación por osificación endocondral, pudiéndose observar todavía el cartílago calcificado de color rosa más pálido y el hueso intensamente eosinófilo. Entre las trabéculas óseas se encuentra la médula ósea.
Fig. 4: hueso esponjoso recién formado rodeado de médula ósea con abundantes adipocitos.
| IB-6 Lengua (Hematoxilina-eosina) |
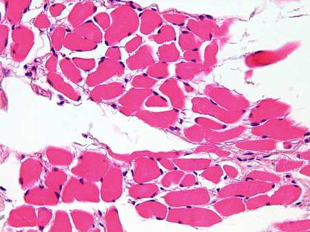
Visión general: sección de lengua vista a pequeños aumentos y teñida con hematoxilina férrica que nos permite ver muy bien la ubicación de las fibras musculares lisas por debajo de la capa mucosa. Se observan haces de fibras musculares estriadas esqueléticas dispuestos en todas las direcciones del espacio.
Visión específica: a mayores aumentos (10X) y ahora ya teñido con hematoxilina-eosina podemos observar paquetes de fibras musculares estriadas esqueléticas entremezcladas con adipocitos. Obsérvese el carácter cilíndrico de las células y la presencia de múltiples núcleos localizados en la periferia de las mismas. Los grandes aumentos (40X) nos permiten visualizar a la fibra muscular estriada esquelética tanto en sección longitudinal como transversal. En ambos casos observamos los núcleos en la periferia de la célula, mientras que la sección longitudinal permite observar la estriación típica de banda oscura banda clara.
| IB-7 Miocardio (Hematoxilina Férrica) |
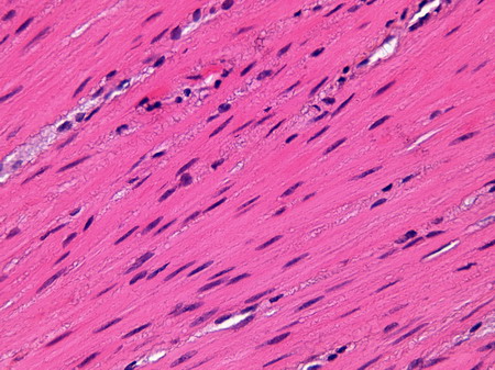
Visión general: sección de pared de miocardio teñida con hematoxilina férrica que nos permite visualizar mejor la estriación típica del musculo estriado cardíaco.
Visión específica: si buscamos un área en la que veamos el recorrido de los miocardiocitos siguiendo su eje mayor, observaremos la alternancia de bandas claras y oscuras. Las diferencias con respecto al músculo estriado esquelético radican en que en este caso los núcleos son únicos y ocupan la porción central del citoplasma. Se observan como espacios muy claros con cromatina laxa y con uno o dos puntos oscuros correspondientes al nucléolo. Además las células no transcurren una junto a la otra pero independientes como ocurría en el músculo esquelético, sino que se anastomosan mediante uniones específicas de carácter escaleriforme que se conocen como discos intercalares. Se reconocen como bandas de color negro que, en algunos puntos, cruzan perpendicularmente a la célula. Obsérvese como entre célula y célula discurren capilares con eritrocitos en su interior formando como pilas de moneda.
 |
 |
| IB-7 Miocardio (H. Férrica)
40x |
 |
IB-7 Miocardio (H. Férrica)
20x |
 |
 |
| |
|
IB-7 Miocardio (H. Férrica)
40x |
 |
|
| IB-8 Intestino grueso (Hematoxilina-eosina) |
Visión general: hemos seleccionado una sección de la pared del intestino grueso para mostrar diferentes formas de presentarse las células musculares lisas. A pocos aumentos nos permite observar la mucosa formada por glándulas tubulares rectas o criptas de Lieberkhün que se forman por la invaginación del epitelio de superficie hacia el interior de la mucosa. Están revestidas por un epitelio en el que destacan las células absortivas o enterocitos y las células caliciformes, secretoras de moco a polo abierto. Entre las glándulas tubulares rectas se encuentra la lámina propia y formando el límite de la mucosa, la capa muscular de la mucosa, formada por músculo liso. A pequeños aumentos se observa como una banda eosinófila delgada. Por debajo de esta capa mucosa, aparece la submucosa de tejido conjuntivo y por fuera una capa muscular lisa bien desarrollada responsable del peristaltismo intestinal.
Visión específica: a mayores aumentos la capa muscular del intestino grueso se observa que está formada por fibras musculares lisas fusiformes, eosinófilas, bien acopladas unas con otras, con un único núcleo de disposición central, en cigarro puro.
|