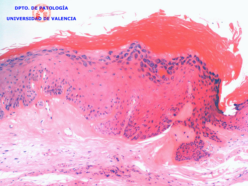
IV-1 Leucoplasia oral
La leucoplasia (placa blanca) es un trastorno mucoso en el que la mucosa adopta una coloración macroscópica blanquecina. Histológicamente se caracteriza por un trastorno madurativo del epitelio mucoso con aparición de una queratinización orto o paraqueratósica con o sin rasgos displásicos asociados.
Este último aspecto es el que marca el probable carácter precanceroso de la lesión.
IV-2 Liquen plano de la mucosa oral
El liquen plano es una enfermedad mucocutánea que se caracteriza por la aparición de placas o pápulas a menudo con líneas o imágenes anulares blancas que se denominan líneas de Wickham y que forman una especie de encaje blanquecino sobre un fondo eritematoso. Clínicamente existen formas reticulares, atróficas y erosivas, si bien su diagnóstico cierto requiere siempre de una confirmación histopatológica. Morfológicamente se aprecia una mucosa lingual de grosor irregular con un infiltrado inflamatorio crónico que barre la unión epitelio/estromal, apreciándose un daño específico de las células basales, con exocitosis intraepitelial y presencia de cuerpos coloides de Civatte.






