VIII-1 Carcinoma adenoide quístico (cilindroma)
Es un tumor maligno de glándula salival que puede surgir de glándulas salivales mayores (sobre todo en parótida) o menores (sobre todo en el paladar), con una ligera predilección por el sexo femenino. El crecimiento tumoral es lento, con tres subtipos histológicos: cribiforme, tubular y sólido ó basaloide, este último de mayor grado nuclear y mayor agresividad. Las recidivas tumorales son muy frecuentes y en ocasiones muy tardías (10 a 15 años después de la exéresis) sobre todo por el neurotropismo de este tumor, que tiende a embolizar vasos linfáticos perineurales propagándose a través de los troncos neurales. Clínicamente puede producir cuadros parestésicos del trigémino (rama palatina mayor del trigémino) o del facial. Las metástasis suelen ser hematógenas (pulmonares y óseas) y muy tardías y en menor frecuencia a ganglios regionales. Es un tumor radiosensible. Y la radioterapia postoperatoria esta indicada para eliminar posibles focos tumorales que hayan pasado inadvertidos.
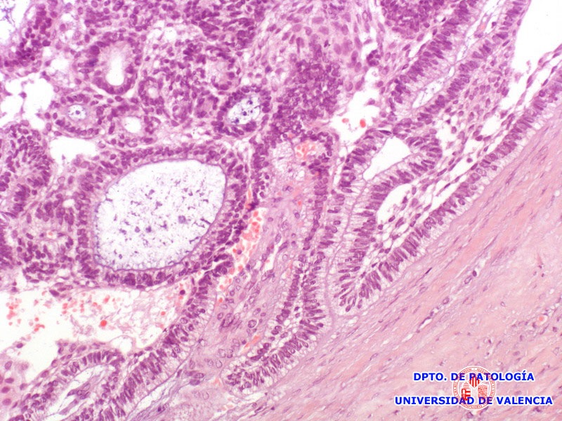
VIII-2 Ameloblastoma (quístico) uniquístico, variante folicular de hueso maxilar
El ameloblastoma es una neoplasia odontógena localmente agresiva, que puede presentar una amplia variedad de patrones histológicos que recuerdan morfológicamente a los estadios tempranos de la odontogénesis. Se trata de un tumor con capacidad destructiva local que puede producir grandes deformidades faciales, afectando a la mandíbula o al maxilar, produciendo imágenes radiográficas osteolíticas de aspecto quístico, uni o multilocular que dan lugar a imágenes óseas “en burbujas de jabón” con marcado adelgazamiento de la cortical externa del hueso, que puede incluso llegar a romperse tras la palpación, con un signo clínico diagnóstico denominado “crujido de cáscara de huevo”. El caso a estudiar corresponde a una lesión uniquística que se rodea de una fina “cáscara” de tejido fibroso y cortical ósea maxilar. Internamente en la pared del quiste se establece un crecimiento tumoral que crece formando proyecciones papilares, que rellenan la luz del quiste, con estructuras foliculares ameloblásticas que presentan una zona central de retículo estrellado y una capa externa de células ameloblásticas cilíndricas o en empalizada con “polarización inversa” nuclear. Esta variante uniquística parece estar dotada de una menor agresividad clínica si bien el ameloblastoma en general es una lesión potencialmente agresiva, con capacidad destructora ósea, con frecuente tendencia a la recidivas y en ocasiones excepcionales incluso con capacidad de dar metástasis ganglionares o pulmonares (ameloblastoma maligno)





