M Esp-7 Timo (Hematoxilina-eosina)
Visión general: la sección histológica muestra en periferia una pequeña cápsula de tejido conjuntivo que delimita una organización en lobulillos. La estructura lobulillar tímica presenta la zona externa o cortical densamente celular más teñida que contrasta con la zona medular central clara. Los septos intertlobulillares aparecen repletos de vasos sanguineo llegando hasta la zona de unión corticomedular.
Visión específica: el análisis del lobulillo muestra una zona cortical formada mayoritariamente por linfocitos de pequeño tamaño con un disposición difusa y una zona medular que presenta menor contenido de linfocitos junto a células epiteliales configurando algunas de ellas típicos cuerpo de Hasall de heterogenidad morfológica marcada.
Objetivos específicos:
Análisis de la arquitectura tímica.
Estudio de las características celulares linfocitarias de la cortical tímica.
Analisis de la medular tímica con descripción de las células reticuloepiteliales.
M Esp-8 Bazo (Hematoxilina - eosina)
Visión general: la sección esplénica muestra una cápsula conectiva fibromuscular periférica que se continúa con tabiques o septos conteniendo estructuras vasculares. Se aprecian dos zonas diferenciales: la pulpa blanca situada periarteriolarmente y constituida por tejido linfoide difuso y nodular y la pulpa roja estructurada como espacios arquitecturales de senos venososo y cordones celulares de contenido fundamentalmente hematológico.
Visión específica: se analiza los componentes de la pulpa blanca configurando dos estructuras posibles: vaina linfoide periarteriolar (VLPA) únicamente constituida por tejido linfoide difuso y la VLPA con tejido linfoide difuso y un nódulo linfoide secundario excéntricamente ubicado. En la pulpa roja se distinguen con dificultad los espacios vasculares irregulares con luces escasamente aparentes repletos de sangre o senos venosos y los cordones de Billroth más sólidos de células macrofágicas en relación con células sanguíneas.
Objetivos específicos:
Arquitectura general del parénquima esplénico con distinción de pulpa blanca y pulpa roja.
Análisis de la pulpa blanca.
M Esp-9 Hipófisis (Tricrómico de Masson)
Visión general: a pequeño aumento se distingue un órgano sólido con una fina cubierta conectiva periférica, delimitándose dos áreas diferenciadas. La zona de mayor tamaño y predominante, densamente celular correspondiente a la adenohipófisis y separada de esta por un tabique fibrovascular una a zona de menor tamaño, fibrilar con menor densidad celular que corresponde a la neurohipófisis.
Visión específica: la zona adenohipofisária presenta una celularidad de hábito epitelial configurando un patrón de cordones y nidos delimitados por estroma fino ricamente vascularizado. Se distinguen tres tipos fundamentales de células: células eosinófilas de citoplasma acidófilo amplio y núcleo pequeño redondeado, células basófilas de menor tamaño, y núcleo de mayor tamaño, también central y redondeado y células cromófobas de citoplasma inconspicuo, levemente teñido. El área neurohipofisaria está constituida por fibras nerviosas con varicosidades o cuerpos de Herring eosinófilos y células gliales o pituicitos de citoplásma difícil de distinguir.


Objetivos específicos:
Distinguir las dos porciones de la glándula hipofisaria: adenohipófisis y neurohipófisis.
Estudiar las distintas poblaciones de la adenohipófisis.
Analizar la arquitectura de la neuroihipófisis.
M Esp-10 Tiroides (Hematoxilina-eosina)
Visión general: se trata de una glándula con arquitectura folicular característica. A pequeños aumentos se distinguen estructuras foliculares de distintos tamaños con un contenido eosinófilo denominado coloide. Los distintos folículos están acompañados de un conectivo rico en vasos sanguíneos.
Visión específica: los folículos de gran tamaño aparecen distendidos por su contenido coloide y tapizados por un epitelio simple aplanado, mientras que los folículos de pequeño tamaño presentan un clásico epitelio cúbico bien definido. Alrededor de determinados foliculos vemos algunos acúmulors de células claras, correspondientes a las células C o parafoliculares. El estroma interfolicular presenta células que en ocasiones corresponden a una visión de acúmulos de celulas C que revisten el foliculo pero al corte quedan dando una falsa visión de células localizadas entre folículos.

Objetivos específicos:
Delimitar la arquitectura folicular distinguiendo elementos de distinto tamaño.
Analizar el epitelio folicular del tiroides.
Localizar y estudiar las células parafoliculares.
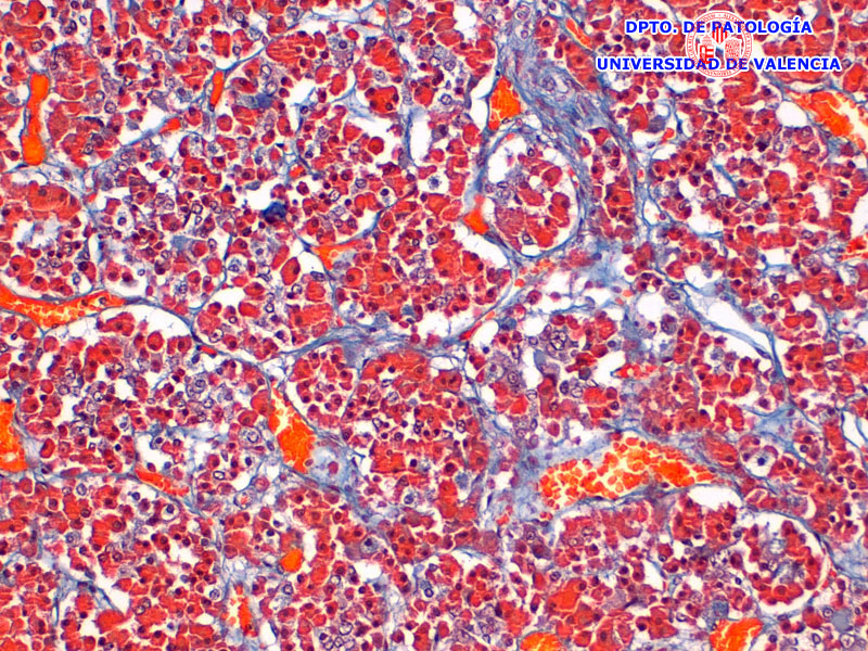
M Esp-11 Suprarrenal (Tricrómico de Masson)
Visión general: a pequeño aumento podemos distinguir una cápsula fibrosa con vasos sanguíneos teñida de azul intenso, subyacente a la cual se aprecia una cortical densamente celular y una medular laxa en posición central rica en grandes vasos sanguíneos.
Visión específica: desde la porción capsular hasta la porción medular distinguimos en la corteza : la capa glomerular, capa fascicular y capa reticular. La capa glomerular está formada por grupos cohesivos de células formando pequeños glomérulos o nidos de pequeño tamaño. En la capa fasciculada, sus células de citoplásma pálido o espongiocitos, forman cordones radiales a la superficie y paralelos entre sí. La capa reticular menos evidente que la anterior está constituida por cordones irregulares de células pequeñas. El estroma conectivo está constituido por un armazón reticular rico en capilares, débilmente teñido de color azul. La médula suprarrenal está pobremente delimitada y con escasas células cromafines (células de citoplasma amplio ligeramente basófilo) que se acompañan a los grandes vasos medulares.


Objetivos específicos:
Distinguir las estructuras corticales y medulares de la glándula suprarrenal.
Analizar las distintas capas de la cortical suprarrenal distinguiendo la organización y las características celulares.
Estudiar la celularidad medular.











