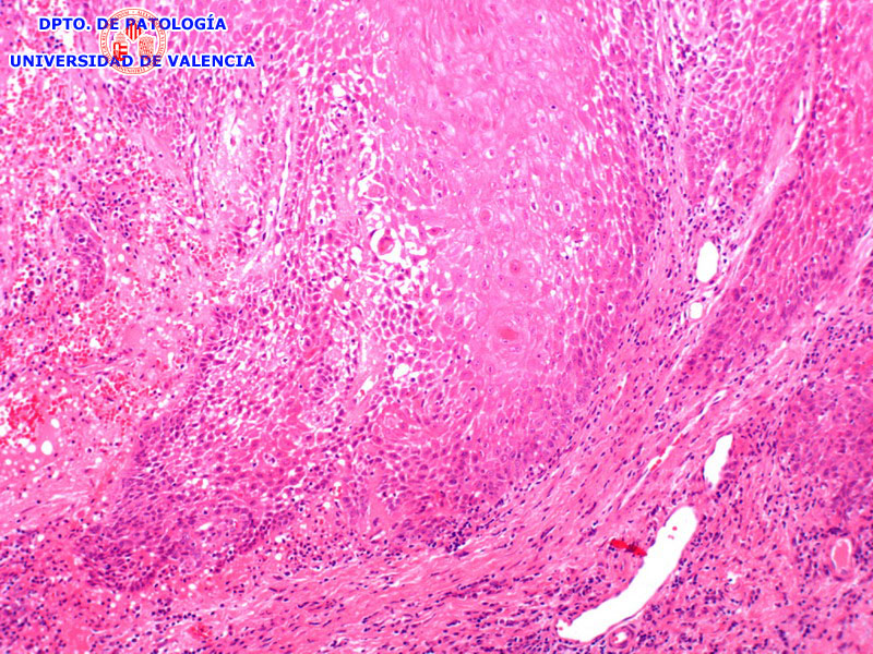
VII-1 Carcinoma epidermoide bien diferenciado de labio
(pieza quirúrgica de exéresis)
El carcinoma epidermoide es sin lugar a dudas el principal protagonista de los tumores epiteliales malignos de la cavidad oral, representando el 90% de todos los cánceres orales. La mucosa del labio inferior (35%), seguida del borde lateral lingual (25%) y el suelo de la boca (20%) son las localizaciones preferenciales de esta frecuente forma neoplásica. El caso a estudiar corresponde a un carcinoma epidermoide de labio donde se aprecia un carácter bien diferenciado, hecho frecuente en la localización labial, con presencia de numerosas perlas córneas con abundante formación de queratina paraqueratosica, que centran los islotes tumorales que infiltran el estroma superficial labial.
VII-2 Carcinoma verrucoso (biopsia incisional)
Se trata de una forma especial muy bien diferenciada y de crecimiento lento de carcinoma epidermoide descrita por primera vez en 1948 por Lauren V. Ackerman, por lo que en ocasiones también es designado como tumor de Ackerman. Es un tumor de crecimiento lento que generalmente presenta un patrón exofítico papilar (crecimiento verrucoso). En superficie suele estar cubierto por una gruesa capa de queratina. El epitelio subyacente es displásico pero solo en raras ocasiones muestra rasgos displásicos severos. Durante mucho tiempo la membrana basal del epitelio esta intacta presentando por lo tanto el tumor un exclusivo crecimiento intramucoso, si bien finalmente acaba invadiendo y comportándose como un carcinoma epidermoide convencional, que puede destruir tejidos vecinos y dar metástasis ganglionares finalmente. A menudo el tumor es biopsiado en varias ocasiones, con diagnósticos variados tales como papilomatosis oral, hiperplasia verrucosa, etc., hasta que finalmente una biopsia amplia permite establecer su diagnóstico. Se han descrito fenómenos de desdiferenciación o de trasformación anaplásica en estos tumores, y que en ocasiones ha sido atribuida a la radioterapia, si bien este último dato continúa hoy siendo motivo de controversia.






