Caso 15
Una
mujer de 50 años de edad, se dió cuenta que no notaba la presión del
lápiz de ojos en el párpado derecho. Ya se había percatado de que su
audición era mejor en el lado izquierdo que en el derecho, donde además
oía un "zumbido". También estaba preocupada por una sensación continua
de mareo.
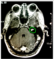
El examen neurológico confirmó que había disminuido la audición en el lado derecho y la anamnesis reveló que sufría de dolores de cabeza, además de cierto dolor en el lado derecho de su cara. La mujer tenía dificultades para mantenerla bipedestación estática sin balancearse cuando sus talones estaban juntos y su forma de caminar era también un poco inestable. El pliegue nasolabial del lado derecho estaba muy poco marcado y lo mismo ocurría con las arrugas de la frente de ese lado. También presentaba un nistagmo en la mirada lateral a la derecha y una pérdida del reflejo corneal derecho. La exploración sensorial de brazos, piernas y tronco estaban dentro de los límites normales.
El examen neurológico confirmó que había disminuido la audición en el lado derecho y la anamnesis reveló que sufría de dolores de cabeza, además de cierto dolor en el lado derecho de su cara. La mujer tenía dificultades para mantenerla bipedestación estática sin balancearse cuando sus talones estaban juntos y su forma de caminar era también un poco inestable. El pliegue nasolabial del lado derecho estaba muy poco marcado y lo mismo ocurría con las arrugas de la frente de ese lado. También presentaba un nistagmo en la mirada lateral a la derecha y una pérdida del reflejo corneal derecho. La exploración sensorial de brazos, piernas y tronco estaban dentro de los límites normales.
¿Dónde localizaría la lesión?
Médula
Tronco del encéfalo: Bulbo raquídeo
Tronco del encéfalo: Protuberancia
Tronco del encéfalo: Mesencéfalo
Cerebelo: Vermis
Cerebelo: Hemisferio
Diencéfalo
Cerebro: A nivel cortical
Cerebro: A nivel subcortical


